今日の患者様
投稿日:2017年7月1日
カテゴリ:スタッフブログ
こんにちは。BiVi歯科クリニックの副院長の武川知美です。
今日もあいにくのお天気でしたが、ご来院いただきありがとうございます。
さて、皆さんは定期的に検診は受けていらっしゃいますか?
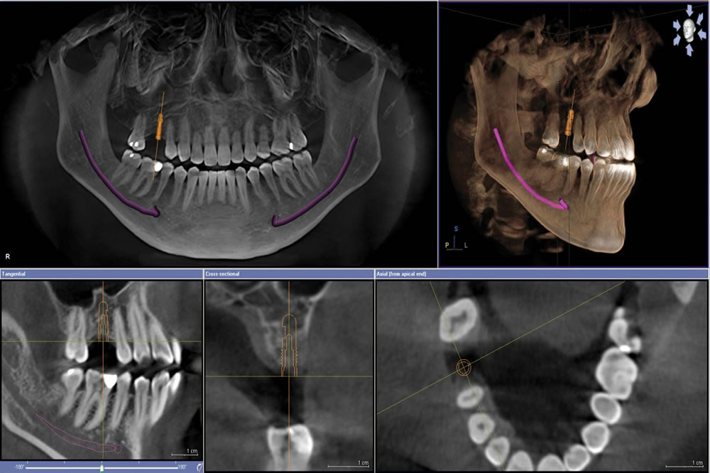
本日来院されたO様、ご自身のお口の現状を詳しく知りたいということで、「歯科ドック」を受けて頂きました。検査により、ご自身ではほぼ気になる症状が無かったようですが、鼻にまで広がる大きな病巣が見つかりました。通常の検診で行うレントゲン検査では見つけることが出来ませんので今回の検査で、早い段階で治療を進める事ができると思います。
CTのお陰ですね!!
かなり現状は厳しい状態ですが、院長なら治せると思います。
歯科医師の使命は「歯を抜かずに保存する事」
これに尽きると思います。
当院はその為に日頃の勉強、トレーニングは欠かせません。
明日も院長は朝早くから夜遅くまでSJCDの勉強会に出席するそうです。
その姿勢はいつも尊敬しています。
私も明日一緒に勉強してきます!!
Oさん次回詳しくお話しますねー。
■ 他の記事を読む■
