BiVi歯科・矯正歯科の症例
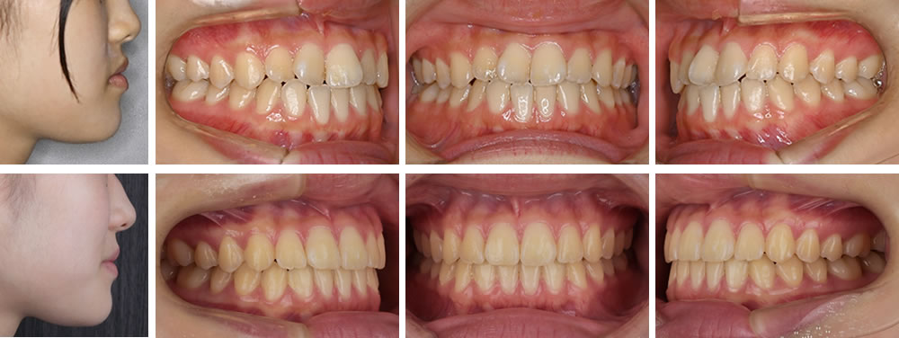
開咬歯列の大人の矯正治療例2

前歯が咬まない歯列の矯正治療ビフォーアフター写真と解説 治療の詳しい解説 30代女性です。前歯の突出感による見た目のお悩み、前歯で咬みにくいこと、口唇が閉じにくいことを主訴として来院されました。 精密検査の結果、前歯部開 […]
叢生(デコボコ歯列)の大人の矯正治療例

叢生(デコボコ歯列)の歯列の矯正治療ビフォーアフター写真と解説 治療の詳しい解説 10代の女性です。前歯の歯並びが気になる。右の前歯が反対になっていて引っかかることを主訴に来院されました。分析の結果、叢生という状態でなる […]
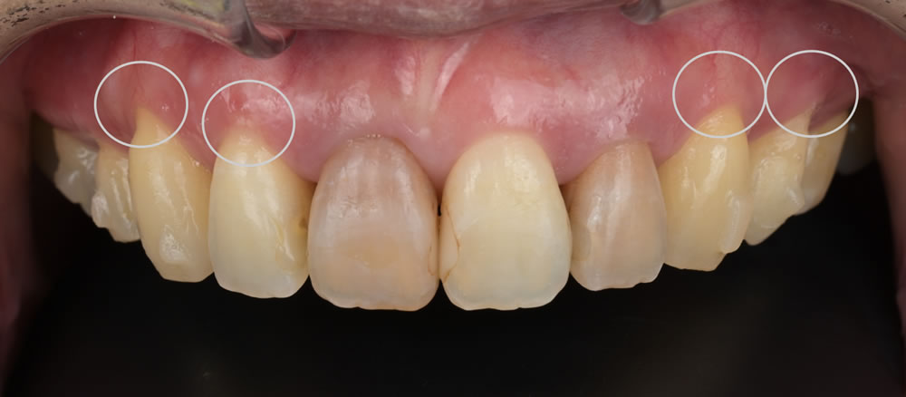
下がった歯肉を根面被覆術で改善した症例

下がった歯肉を根面被覆術で改善した症例 こちらの患者さまは、下がった歯肉により歯がしみるとのことでしたので、再生療法の治癒待ちの9ヵ月の間に、上顎前歯のPhenotype Modification Therapy(フェノ […]
叢生(デコボコ歯列)の大人の矯正治療例10

八重歯などデコボコ歯列の矯正治療ビフォーアフター写真と解説 治療の詳しい解説 30代の女性です。歯のでこぼこと口元を気にされて来院されました。口元をスッキリさせたいとのはっきりとした依頼でした。 分析の結果、でこぼこの度 […]
上顎前突(出っ歯)の大人の矯正治療例4

上顎前突(出っ歯)の歯列の矯正治療ビフォーアフター写真と解説 治療の詳しい解説 10代の女性です。上の前歯が出ていること気にされて来院されました。骨格的に上下に違いがあり、精密検査の結果、上の第一小臼歯を抜歯して治療を行 […]
他院で抜歯と診断された歯をMISTとレーザーで改善した症例

他院で抜歯と診断された歯をMISTとレーザーで改善した症例 治療前 治療後 こちらの患者さまは、右下の小臼歯から大臼歯にかけて歯肉の退縮が見られ、根の分かれ目(分岐部)にも炎症が及んでいました。歯肉退縮で、歯ぐきが下がっ […]
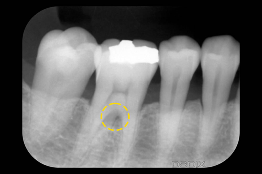
MISTとレーザーによる重度歯周病治療の症例

MISTとレーザーによる重度歯周病治療の症例 治療前 治療後 こちらの患者さまは、左上の第一大臼歯の近心部に「垂直性骨欠損」が認められ、歯周病の進行により歯を支える骨が深く失われていました。また、同じ歯の根の分かれ目(分 […]
MIST・レーザー等で重度歯周病の症状を改善した症例

MIST・レーザー等で重度歯周病の症状を改善した症例 治療前 治療後 こちらの患者さまは、左上の奥歯2本(第一・第二大臼歯)に進行した歯周病があり、それぞれに「垂直性骨欠損」が見られ、分岐部にも炎症が及んでいました。非常 […]
精密根管治療・歯周組織再生療法で重度歯周病を改善した症例

精密根管治療・歯周組織再生療法で重度歯周病を改善した症例 治療前 治療後 こちらの患者さまは、右下の奥歯(第2大臼歯)に歯の根の内部(神経)と歯の周囲の組織(歯周組織)の両方に問題がある複雑な状態でした。治療は、まず根の […]
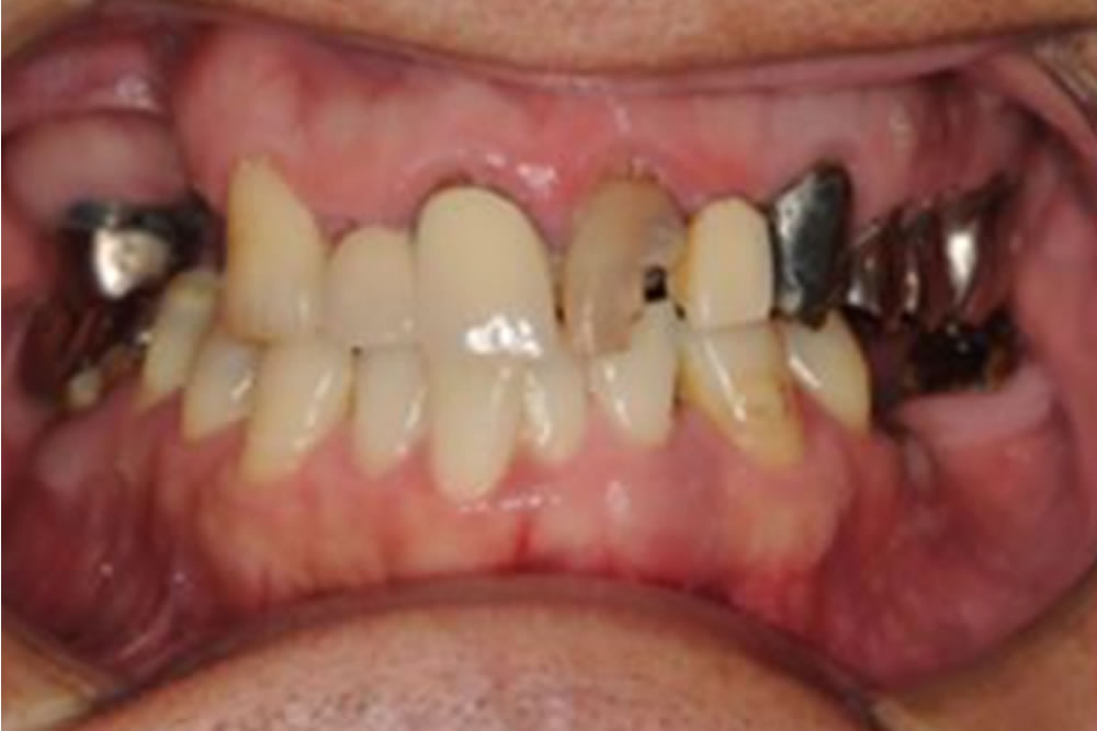
歯周組織再生療法・インプラント等を併用した症例

歯周組織再生療法・インプラント等を併用した症例 治療前 治療後 こちらの患者さまは、歯周病に加えて奥歯を失い、前歯の骨の支えもかなり少ない状態でした。11年前の歯科ドックで複数の問題が見つかり、一つひとつ丁寧に説明したう […]
