小児矯正・小児歯科
このページの目次
BiVi歯科・矯正歯科の小児矯正

お子さまの矯正治療で大切なことは、その時々の治療ではなく、より長期的な視点で治療に当たることです。BiVi歯科・矯正歯科ではお子さまのお気持ちを大切にし、親御さまの立場に立って、お子さまが将来的にも健康なお口環境を維持できるよう、様々な面に配慮しています。
日本成人矯正歯科学会認定医が矯正治療を担当いたします

BiVi歯科・矯正歯科の矯正治療は「日本成人矯正歯科学会」・「日本顎咬合学会」の認定医資格を有した歯科医師が担当いたします。
診査・診断結果に基づき、患者さま一人ひとりに適した精密な矯正治療をご提供いたします。
専門資格を持つ歯科医師による精密な矯正治療を、できる限り費用面に配慮した通いやすい価格でご提供していることも当院の特長です。
日本成人矯正歯科学会とは
「成人を対象とした矯正歯科治療に特化した学術団体」
日本成人矯正歯科学会は、14歳以降の成長期を過ぎた方を対象とする「成人矯正」に特化した学術団体です。
1993年に設立され、矯正治療の発展や矯正医の育成、専門医・認定医制度の導入などを通じて、質の高い矯正治療の普及に取り組んでいます。
日本成人矯正歯科学会の認定医について
日本成人矯正歯科学会では、成人矯正治療の水準を保ち、さらに向上させることを目的として、専門的な知識と技術を備えた歯科医師を評価・認定する「矯正認定医」制度を設けています。
矯正認定医とは、矯正治療に関する専門的な知識と技術を兼ね備えた歯科医師です。長年にわたり矯正治療の経験を積み、学会が定める基準と認定試験に合格した歯科医師だけが、この資格を取得できます。
日本成人矯正歯科学会の認定医になるための条件
認定医の資格を申請しようとする者は、下記の1~3項、あるいは1、2、4項の要件をすべて満たさなければならない。
日本の歯科医師免許を有すること。
本学会に5年以上継続して在籍していること。但し、本学会入会以前に他の矯正歯科関連学会に在籍していた場合。
本学会認定医研修プログラムを終了しているかあるいは、本学会の認める矯正歯科専門医療機関 (大学歯学部附属病院矯正歯科、その他)に2年以上在籍して矯正歯科基礎研修を修了し、本学会の実施する認定医申請資格試験に合格していること。
但し、本学会の認定研修施設に5年以上在籍し、認定研修プログラムを終了していると認定研修施設の責任者が認めた場合、あるいは本学会の認める矯正歯科専門医療機関(大学歯学部附属病院矯正歯科、その他)に5年以上在籍して認定研修プログラムを終了していると認められた者は、この試験を免除する。
本学会の認定研修施設、あるいは本学会の認める矯正歯科専門医療機関に5年以上在籍していると同等の矯正臨床経験を有すると認められる者は、本学会の認定研修プログラムを修了し、本学会の実施する認定医申請資格試験に合格していること。
日本成人矯正歯科学会の認定医は歯科医師全体の約0.25%
日本成人矯正歯科学会の認定医は約250名です。
日本国内における歯科医師の総数は約10万人とされており、矯正認定医は全体の約0.25%(400人に1人程度)という割合です。
近年で認定医資格を取得した人数については、令和元年と令和2年にそれぞれ3名ずつと非常に少なく、ここ数年の間は1桁台で推移しています。
日本成人矯正歯科学会認定医による小児矯正相談を実施中
当院では、小児矯正治療を前向きに開始していただけるよう、日本成人矯正歯科学会認定医による矯正相談(カウンセリング)を実施しております。
歯並びについてのお悩み相談はもちろん、お子さま一人ひとりのお口の状態、ご希望を考慮し、無理のない矯正治療をご提案いたします。
お子さまの歯並びや咬み合わせの改善をご検討中の方はぜひ、お気軽にBiVi歯科・矯正歯科までご相談ください。
小児矯正で使用する矯正装置について
BiVi歯科・矯正歯科では、お子さまの成長過程、お口の状態を考慮し、適切な矯正装置をご提案いたします。
拡大床矯正装置

取り外せる矯正装置です。歯磨きなどの際に制限を受けませんので、快適な矯正となります。
ワイヤー

歯の表面にワイヤーをかけるものです。歯にかかる力が調節され、顎骨の成長が誘導されます。
マウスピース(ムーシールド)

就寝時にお付けいただくものです。受け口の改善などに利用される場合が多いものです。
小児矯正治療の注意点
取り外しが可能な装置は、装着時間を守らなければ治療が計画通りに進まないことがございます。就寝時に着用する装置は、無意識に外れたりする場合もございますので、注意しましょう。また、固定式の装置は汚れが溜まりやすいなどの理由から、虫歯のリスクが高くなりますので、歯磨きをしっかり行い、親御さまの仕上げ磨きでセルフケアを徹底しましょう。
BiVi歯科・矯正歯科の小児矯正の特徴
POINT 小学生・中学生・高校生なら歯の矯正はわずか1年
当院で使用している小児矯正装置は、治療の際の機械摩擦力が極力少ない装置を採用しております。そのため、歯が効率よく移動し、治療期間を短くすることが可能です。また、余計な力をかけないで済むので、痛みも低減されます。
POINT 小児矯正精密診断の実施

小児矯正では、矯正治療を実施する以前に、そのお子さまのお口環境をどう捉えるか、つまりその事前診断が非常に重要なものとなってきます。当院では、一人ひとりの症状に合った適切な治療計画をご提案するため、精密な小児矯正診断を実施しています。
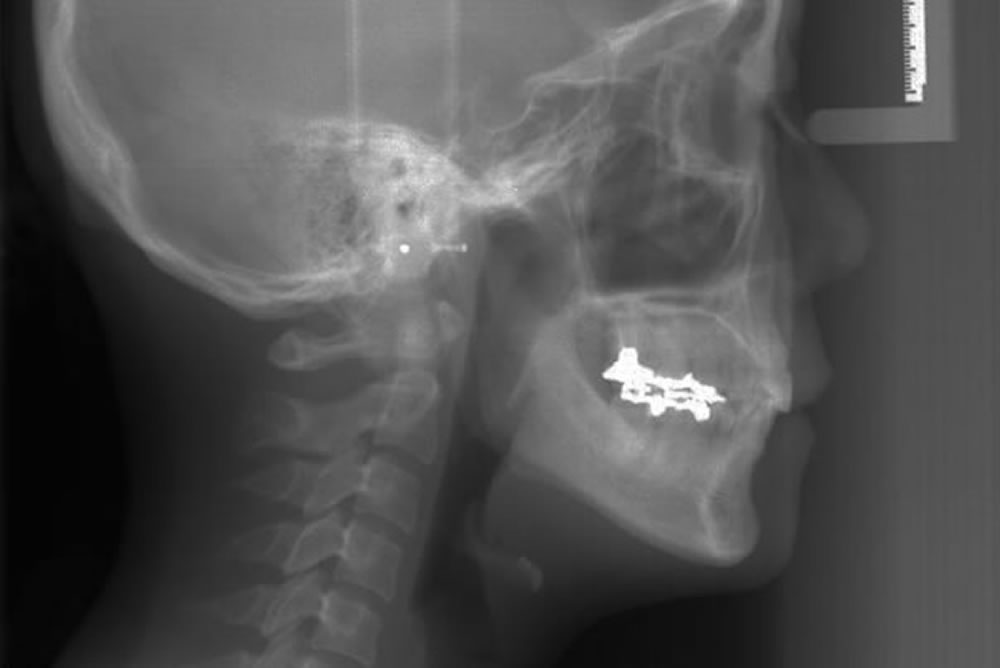
矯正治療用の精密レントゲン「セファロ」の活用
当院では、「セファロ」と呼ばれる矯正治療専用のレントゲンを使用していますので、歯と顎と顔全体のバランスを同年代の平均的なものと厳密に比較分析することができます。顎骨全体を診断するのに非常に有効です。
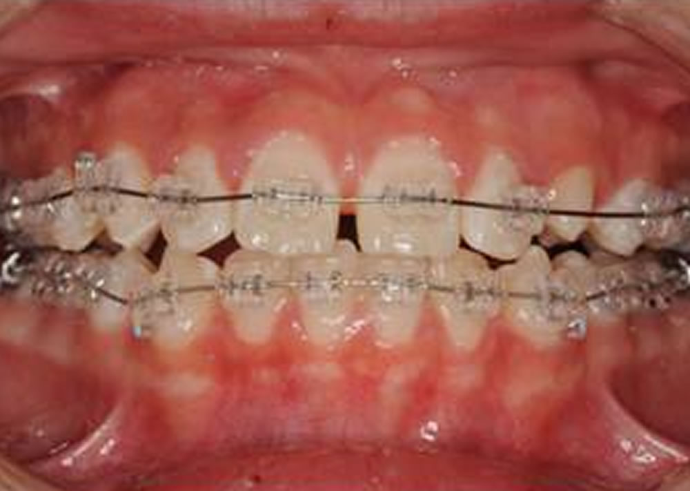
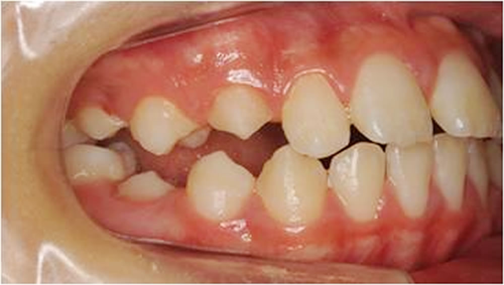
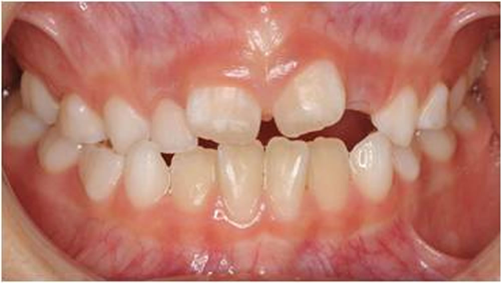
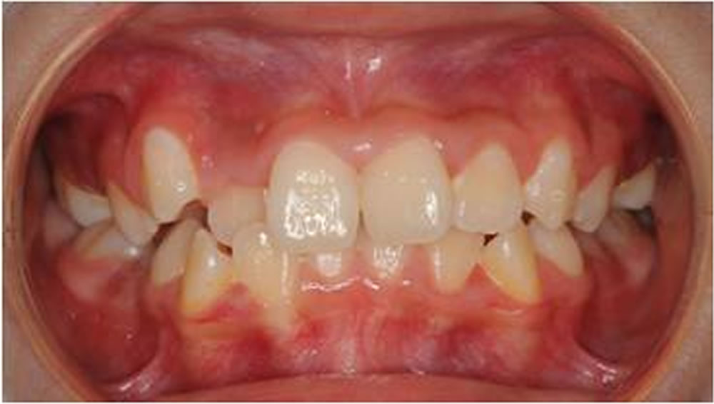
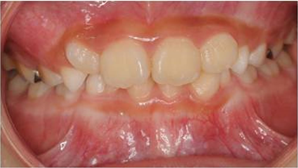
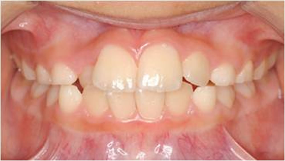
BiVi歯科・矯正歯科で実施した小児矯正の治療例をご紹介
▼当院で実際に行った小児矯正治療の症例をご紹介します。
小児矯正治療の費用
※下記すべて税込となります。また治療期間、回数はあくまで目安で症状により変動します。
(目安治療期間:3~36ヶ月 治療回数:3~36回)
| 名称 | イメージ | 特性 | 料金(税込) |
|---|---|---|---|
| 精密検査/診断費 | ![]() |
レントゲンや模型などの資料を取り、診断をして、診断結果を患者さまにお話しするまでにかかる費用です。 | 5,500円 |
| 小児矯正(ムーシールド・プレオルソなど) | ![]() |
小児矯正では、乳歯と永久歯が混在する時期にあごの成長やかみ合わせを整えて永久歯がきれいに並ぶための土台をつくる「1期治療」と、永久歯が生えそろった後にワイヤー矯正などで歯並びとかみ合わせを整える「2期治療」を行い、お子さまの成長に合わせて段階的に治療を進めていきます。 | 88,000~327,800円 上下矯正+床矯正393,800円 |
| 矯正期間中の調整費 | ![]() |
矯正装置の調整に毎月ご来院いただきます。 | 3,000円/月 |
※抜歯が必要な場合、抜歯料金は別途頂戴いたします。
症例に応じた小児矯正治療プランをご用意しています
症例の状態や成長段階、治療内容に応じて、小児矯正は3つのプランに分けてご案内しております。
①床矯正治療(ムーシールド・床矯正など)
②部分小児矯正治療(上顎のみ)
③全顎小児矯正治療(全顎矯正)
お子さまのお口の状態や将来的な歯並びの見通しを踏まえ、それぞれの治療内容に応じた適切な費用を設定しています。 成長を活かした無理のない治療計画のもと、保護者の方にも安心してご検討いただけるよう、明確な3段階の料金体系をご用意しております。

デンタルローンによる分割払いに対応しています

当院では、費用面に不安をお持ちの方にも配慮し、デンタルローン(分割払い制度)を導入しております。月々の支払い額を調整しながら、計画的に治療をスタートしていただくことが可能です。
矯正治療は医療費控除の対象となります

国の制度である医療費控除を活用することで、上記の矯正治療費が実質5~45%お安くなります。医療費控除の還付率は、1年間の所得と支払った医療費によって変動します。
(例)年間所得500万の方が32.78万円の矯正治療を受けた場合は?
医療費控除により、約4.5万円(所得税の還付金 約2.25万+翌年度の住民税減額金額 約2.25万)戻ってきます。つまり、矯正治療が32.78万円→28.28万円で行えることになります。
小児矯正では歯並びだけでなく呼吸の改善も重要です

埼玉県八潮市でお子さまの矯正治療をお考えの方は、この内容を丁寧にお読みいただければと思います。一見、歯並びの矯正は、歯の並びだけに注意が向けられますが、実は呼吸とも大きなつながりがあります。お選びになる矯正治療によっては、呼吸面の改善を含めた治療ができ、アレルギーや喘息、鼻炎、また多動的傾向(集中力不足)を改善できる場合があります。
顎骨の位置ズレや小ささによって、呼吸が不十分に…
近年の食の欧米化の影響は、お子さまの顎の発育にも見られ、顎骨が小さかったり位置がズレているお子さまが増えています。上顎の不十分な発育やズレは、鼻の中の空気の通り道、鼻腔を狭めてしまうため、呼吸をしづらくさせてしまいます。
下顎の場合については、歯の並ぶ空間がうまく確保できず、歯並びが乱れてしまいます。同時に、舌が喉側へと押しやられてしまい、気道を狭めてしまうという影響もあります。
ここから、口呼吸が常態化してしまい、発育面、体質面、情緒面の悪影響を生んでしまいます。
不十分な呼吸がもたらす悪影響
脳は成長のために酸素を必要としています。寝ている時に脳は酸素の供給を受けますが、この時に十分に酸素が行き届かないと、脳の発育も不十分なものとなり、学力低下がもたらされてしまいます。
起きて生活している時にも、口呼吸が常態化してしまうと悪い姿勢になりやすく、情緒面で不安定な傾向が生まれ、鼻炎やアレルギー、中耳炎、免疫力での悪影響も出てしまいます。
このように、呼吸はそのお子さまの人生をも左右する非常に重要なものです。
顎骨から呼吸面、そして歯並びの改善へ
お子さまの顎の大きさや位置取りが適切に確保されると、呼吸は十分なものとなり、脳はあるべき成長を遂げ、そのお子さまの持つべき本来の能力が獲得されます。
また、顎の発育は舌の位置取りを適切な場所へと向かわせますので、口腔周囲筋がうまく発達し、顎関節も可動域が広がります。結果、歯並びも整い、姿勢も正しくなります。
このようなことから、顎骨の発育や呼吸面を意識することは、お子さまの矯正治療を考える時、非常に重要なポイントとなります。
お子さまの気持ちに寄り添ったBiVi歯科・矯正歯科の小児歯科

お子さまが、自分の感情をうまくコントロールできないのはごく自然なことです。それでも無理に歯の治療を実施すると、そこに拒絶反応が生まれ、繰り返されることで歯医者さん=「怖い」という心理が形成されてしまいます。当院では、このようなマイナスの影響を回避すべく、お子さまが歯医者さんを好きになってもらえるような配慮も含め、次のような4つの対応を心がけています。
① お子さまの緊張緩和

お子さまの立場で見た場合、知らない人にお口の中を治療されるのはとても恐怖を感じるものです。このため、当院では痛みがひどい場合を除いて、すぐに治療を開始しません。お話したり、治療器具を触ってもらうなどしながら、心理的な壁を取り除く配慮を行います。
② お子さま目線の治療説明

当院では、親御さまだけでなく、お子さまにも治療の説明をさせていただきます。もちろんわかりやすくイメージできるようなものを心がけます。こうすることで、なぜ歯の治療が必要なのか、治療することでどうなるのかなどを感じ取ることができ、歯磨きの意識なども高まります。
③ 親御さま同席での治療

お子さまの治療の際、親御さまにも同席してもらうように心がけています。これは、お子さまの安心感と保護者の立場での治療確認、そしてご家庭でのホームケアへの意識付けなどにつなげてもらうためです。家族全体で、歯の健康意識が高まると、そのお子さまの将来的なお口環境にも大きなプラス効果が生まれます。
④ 治療に伴う痛みへの配慮

お子さまが歯科医院を苦手に感じてしまう大きな理由の一つが、「治療時の痛み」です。当院では、痛みが生じる可能性のある処置を行う際には事前に局所麻酔を施し、できるだけ不安や負担を軽減できるよう努めています。さらに、麻酔注射や歯を削る処置の際にも、刺激を抑え、痛みを感じにくくするための工夫を行っています。
お子さまの虫歯予防対策について
BiVi歯科・矯正歯科では、幼少期からの虫歯予防とお口のトラブル予防に積極的に取り組んでいます。定期検診では、お子さまの成長段階やお口の状態を丁寧に確認し、それぞれに適した予防処置やご家庭でのケア方法をご提案いたします。
フッ素塗布

フッ素は、歯質を強化し、虫歯菌の働きを抑制するとともに、歯の再石灰化を促進する作用があります。そのため、虫歯の発生を予防し、初期段階の進行を抑えるうえで効果が期待できます。
シーラント充填

乳歯の奥歯や生えたばかりの永久歯は、溝が深く汚れが残りやすいため、虫歯になりやすい傾向があります。そこで当院では、「シーラント」と呼ばれる予防処置を行っています。フッ素を含む樹脂で歯の溝をあらかじめコーティングすることで、汚れの蓄積を防ぎ、虫歯のリスクを抑えることができます。
TBI(歯磨き指導)

虫歯予防の基本は、毎日の正しい歯磨きです。磨き残しがあると虫歯のリスクが高まるため、当院では必要に応じて、お子さまに合ったブラッシング方法や、親御さまによる仕上げ磨きのポイントを丁寧にお伝えしています。
BiVi歯科・矯正歯科は、妊娠中・妊娠予定の女性を全力サポートします!
現在、妊娠されている方、また今後妊娠されるご予定のある方は、ぜひ一度、BiVi歯科・矯正歯科をご来院ください。妊娠中のママが歯周病を患っていると、歯周病菌が血中を巡り、お子さまへの影響(全身疾患や低体重児出産リスク)があります。
歯周病は、もともと日本人の約80%の方が患っている自覚されにくい病で、意識されないまま胎児へ悪影響が出てしまう可能性があります。
また、妊娠中は麻酔治療が危険ですので、なるべく妊娠前にお口環境を整えておくことが大切です。当院では、お口環境から始める妊娠準備を推奨し、妊婦さんへの栄養アドバイスなども行っています。ぜひお気軽にご相談ください。
埼玉県八潮市で小児歯科・小児矯正歯科をお探しの方へ

BiVi歯科・矯正歯科では、ご覧のようにお子さまの将来的なお口環境をも意識した治療を行っています。特に小さいお子さまであればあるほど、歯医者さんに怖いイメージができてしまうと、その後の生涯に渡りあまり良い影響がありません。埼玉県八潮市でお子さまの虫歯治療や矯正治療をお考えの方は、ぜひ当院までお気軽にご相談ください。













