本日は1日中精密根管治療。
投稿日:2017年12月23日
カテゴリ:院長ブログ
こんにちは。院長の武川です。本日は1日精密根管治療でした。今日の患者さまも私のブログを読んで頂いているようで私が説明する前に知識がある方が多く頭が下がります。私なんかのブログの為に大切なお時間をお邪魔してしまい申し訳ありません。
でもブログには何にも格好つけずに真実をだしています。これって大切です。
歯科医師の中には1000ケースの内で一番綺麗(上手い)ケースのみ発表やブログに使用する先生がいます。じゃ残りの999人の人達は??
そこの方が大切だと思いません?患者さま目線に立つと常に質の良い治療を提供してほしいですよね?
だから出来るだけ毎日ブログを書くようにしています。中にはプロがみたら、いまいちと思われるケースもあると思います。でもそれでいいんです。チャンピオンケースを1000分の1出すのではなく常に質の担保された治療を提供していると患者さまにご理解して頂きたいと思っているからです。
では今日のケース。まず矯正です。
抜歯したスペースが閉じてあともう一歩。お顔が綺麗になりました。男性です。
バイトターボの除去。
来年には終わりますねーー。楽しみ!!
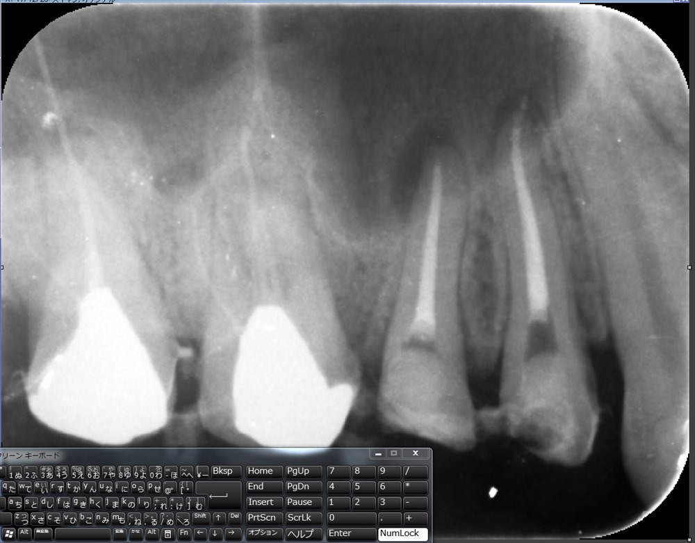
精密根管治療のケース。
前回スタート。グライドパスまで前回終了。

今回で根管形成終わり。イスムスの整理。


これで抜歯せずに済みますね!!Kさん。本当に良かった!!
つぎの女性の方も深刻。こんなに歯茎が腫れています。
もう歯ブラシも当てられないそうです。

でもこんな重症でも精密根管治療。根管をしっかり見つけて

ストレートラインアクセスの為エンド三角を整理。

根管形成。汚れが出てくる出てくる。すべて使い捨ての器具で安心!!

イスムス
整理後綺麗になりました。1時間半の作業


Yさんこれでお正月大丈夫。
最後の患者さまも精密根管治療で歯の保存。今日は3回目。最後の感染源(汚れ)にアタック!
マイクロエキスカで
そーっと
そして根管充填
長年の悩みも解決するはずです。精密根管治療が好きですので充実した祝日診療になりました。

当院では院長の私のみが治療をすべて担当します。代診のDrが拝見したり研修医が拝見する事はございません。それは「治療の質」にこだわるからです。そして貸し切り診療で(患者さまを同じ時間に平行して診療をいたしません)治療時間を1時間から1時間半かけ丁寧に無痛にこだわり診察しております。すべての患者さまに誠意をもって対応している為1日で拝見できる数は7~10人程度になります。ご理解の程宜しくお願い致します。
埼玉、八潮、三郷、草加で根管治療ならBiVi歯科・矯正歯科まで。
■ 他の記事を読む■
