無菌下で精密治療を行うとこんなにも治るのか。
投稿日:2018年3月12日
カテゴリ:院長ブログ
こんにちは。院長の武川です。変な題名をつけてすみません。
当院のブログにいつも登場する
「精密根管治療」
本日も良い治療経過が出ています。根管治療は
1.無菌的処置(ラバーダム必須)
2.根管内の細菌を減らす(見えないと細菌や汚染物が取れないのでマイクロスコープ必須)
3.緊密な根管充填
が命です。全て揃わないと
治療が長引く、痛みが取れないなど
根管治療は上手くいきません。
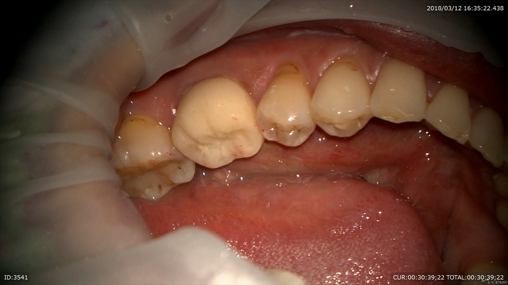
今日のご紹介
右側は痛みを訴え来院時。歯茎から膿が飛び出しています。
左は今日。何もなくなりました。
今日 スタート時2月

症状も消えました。
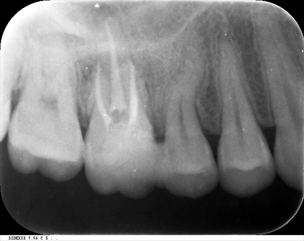
本日根管充填


この方は根管治療が終わり土台をつけ仮歯を作成しました。

この方も根管治療は2回。
根管治療後も精密な土台と仮歯を作り細菌感染を防ぎます。
土台

仮歯を
調整

これで噛めるか試験です。
当院が治療中、仮歯を必ず入れる理由は実際使って頂いて(本物と同じ形)大丈夫か判断するからです。
次回は精密な型をとります。
最後は銀場虫歯の方

重症と診断した時点でラバーダム。無菌的治療は必須!

感染をとり
MTA


これで痛みが出なければ大丈夫!!

当院ではこの様に無菌的治療を行い歯の保存を徹底しています。
これらは全て精密な為無痛です。
埼玉、八潮、三郷、草加で無痛治療はBiVi歯科・矯正歯科へ。
■ 他の記事を読む■
