虫歯は見えない所で・・・・
投稿日:2018年2月26日
カテゴリ:院長ブログ
こんにちは。院長の武川です。今日は精密根管治療の理由のお話しから。
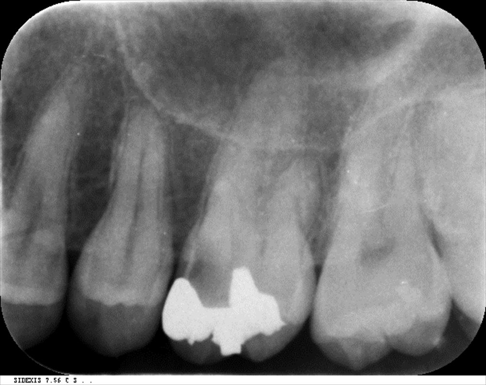
この方は詰め物の中(内部)で虫歯が発症。
左上6番に大きな虫歯。

先日
「寝れない位痛い」と急患でいらっしゃいました。本当に辛そうでした。当院では完全予約制で診療を行っていますのでこの様にお辛い場合でもすぐに診る事ができません。キャンセル待ちをして頂く場合が多いです。今日も無断キャンセルの方が1人
「忘れていた」
色々事情がある事は解ります。ただこの様な寝れない位痛い方をお断りしてすべての治療の準備を前日、当日スタッフとMTGして待っています。正直ガッカリしてしまいます。
何度もある場合は優先ご予約をお取りできなくなるのはこういった理由があるからです。ご理解頂けますと幸いです。
話は戻りますがこの方はキャンセル待ちで重症の虫歯の処置が出来ました。内部は
神経が腐っていて痛そうでした。
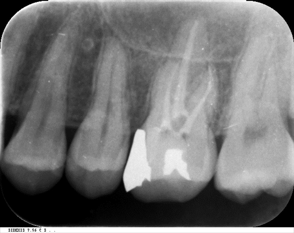
丁寧に


二回で根管充填

レントゲンでもOK症状なし!遠心は湾曲根管でしたがプロテーパーネクストが活躍!!

笑顔が戻ってよかった!!
この様に当院では重症な虫歯でもその後やり直しの治療が少ない様にラバーダムを必ず使用しマイクロスコープをすべての根管治療、虫歯治療で使用します。
埼玉、八潮、三郷、草加で根管治療ならBiVi歯科・矯正歯科まで。
■ 他の記事を読む■
