拡大床の小児矯正治療(8歳の男子)
拡大床の小児矯正治療(8歳の男子)
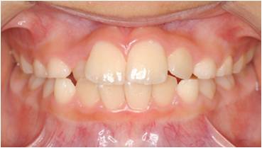
治療前

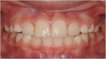
治療後

治療の詳しい解説
拡大床の小児矯正治療(8歳の男子)の治療前後の写真です。矯正治療によって上顎前突(出っ歯)と正中ずれが大幅に改善されており、歯列のアーチも整いました。
矯正治療をお考えの方はぜひBiVi歯科クリニックまでご相談ください。
| 年齢・性別 | 8歳 男子 |
|---|---|
| 矯正治療期間 | 約1年 |
| 治療回数 | 9回 |
| 治療費 | 30万円(税込) |
| 抜歯の有無 | 無し |
| 使用矯正装置 | 拡大床+部分ブラケット装置 |
| リスク・注意点 | ・保定期間の継続が重要 ・仕上がりの後戻り防止 |
