拡大床の小児矯正治療(9歳の女子)
拡大床の小児矯正治療(9歳の女子)
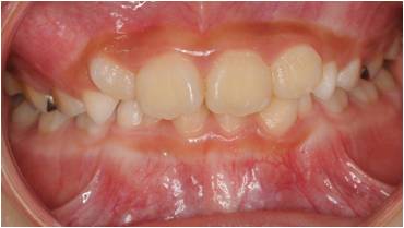
治療前

治療後

治療の詳しい解説
拡大床の小児矯正治療(9歳の女子)の治療前後の写真です。矯正治療によって上顎の前突と前歯のガタガタが改善し、見た目が自然に整いました。
矯正治療をお考えの方はぜひBiVi歯科クリニックまでご相談ください。
| 年齢・性別 | 9歳 女子 |
|---|---|
| 矯正治療期間 | 約1年 |
| 治療回数 | 9回 |
| 治療費 | 30万円(税込) |
| 抜歯の有無 | 無し |
| 使用矯正装置 | 拡大床 |
| リスク・注意点 | ・保定装置使用の徹底 ・口腔衛生管理が必要 |
