叢生(デコボコ歯列)の大人の矯正治療例5
八重歯などデコボコ歯列の矯正治療ビフォーアフター写真と解説

治療の詳しい解説
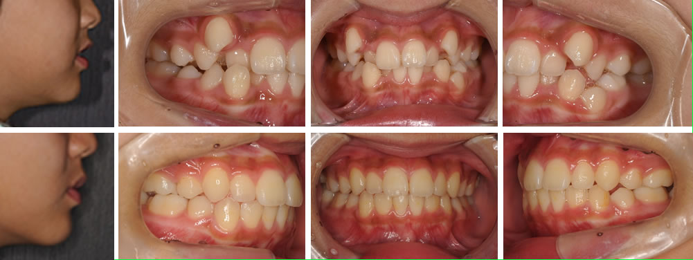
10代の女性です。歯のでこぼこを気にされて来院されました。顎の大きさに対して歯の大きさの不調和が顕著であった事と精密検査の結果、第一小臼歯を上下抜歯して治療を行いました。歯並びが綺麗になっただけでなく口元がご覧の通りスッキリしてお顔が美しくなりました。歯ブラシもしやすくここからはクリーニングとメンテナンスで診ていきます。セルフライゲーションブラケット装置「デーモンシステム」を使用することで弱い力を利用し矯正のリスクである歯茎下がりも回避出来ました。
患者様・治療内容の主な概要
| 年齢・性別 | 10代女性 |
|---|---|
| 矯正治療期間 | 1年6ヶ月 |
| 治療回数 | 15回 |
| 治療費 | 77万円(税込) |
| 抜歯の有無 | 上下の左右1本ずつ |
| 使用矯正装置 | セルフライゲーションブラケット装置「デーモンシステム」 |
| この治療の想定されるリスク | 後戻りする事があります。リテーナーを使用して頂いております。 |
