叢生(デコボコ歯列)の大人の矯正治療例6
八重歯などデコボコ歯列の矯正治療ビフォーアフター写真と解説

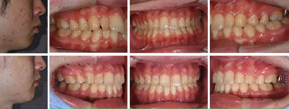
治療の詳しい解説
20代の男性です。歯のでこぼこと出っ歯を気にされて来院されました。分析の結果、でこぼこの度合いが大きく前歯の位置が出ていた為、第一小臼歯を上下抜歯して治療を行いました。かみ合わせが良くなり顎の痛みなく快適に毎日過ごしているとの事でした。容姿が良くなり以前より明るくなりました。
患者様・治療内容の主な概要
| 年齢・性別 | 20代男性 |
|---|---|
| 矯正治療期間 | 2年1ヶ月 |
| 治療回数 | 23回 |
| 治療費 | 82.5万円(税込) |
| 抜歯の有無 | 上下の左右1本ずつ |
| 使用矯正装置 | セルフライゲーションブラケット装置「デーモンシステム」 |
| この治療の想定されるリスク | 後戻りする事があります。リテーナーを使用して頂いております。 |
