叢生(デコボコ歯列)の大人の矯正治療例7
八重歯などデコボコ歯列の矯正治療ビフォーアフター写真と解説

治療の詳しい解説
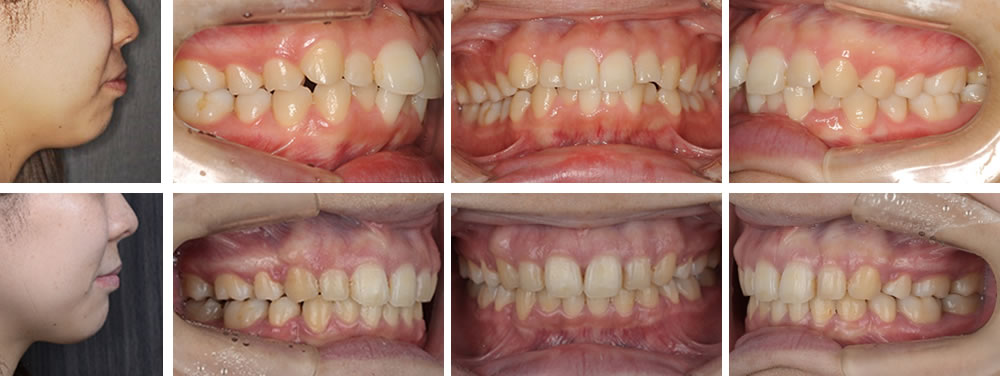
20代の女性です。歯のでこぼこと、口元の突出を気にされて来院されました。分析の結果、上下の左右1本ずつを抜いて治療を行うことになりました。奥歯と犬歯の関係の改善を行い、かみ合わせを良くするため、歯科矯正用アンカースクリューを埋めることも必要となりました。
また、ワイヤー矯正装置とマウスピース型矯正装置「インビザライン」を併用した矯正治療により、矯正期間中も口元を隠すことなく笑えました。食いしばりが顕著で歯の摩耗もございましたが、歯のポジションが良くないことも原因になります。術後は犬歯の位置を理想的にしたことで、歯ぎしりによる不快症状もなくなりました。横からのお顔も綺麗になりました。
患者様・治療内容の主な概要
| 年齢・性別 | 20代女性 |
|---|---|
| 矯正治療期間 | 2年5ヶ月 |
| 治療回数 | 30回 |
| 治療費 | 99万円(税込) |
| 抜歯の有無 | 上下の左右1本ずつ |
| 使用矯正装置 | マルチブラケット(一般的なワイヤー矯正)+マウスピース型矯正装置「インビザライン」+歯科矯正用アンカースクリュー |
| この治療の想定されるリスク | 後戻りする事があります。リテーナーを使用して頂いております。歯科矯正用アンカースクリューが脱落する事があります。 |
