精密根管治療・歯周組織再生療法で重度歯周病を改善した症例
精密根管治療・歯周組織再生療法で重度歯周病を改善した症例
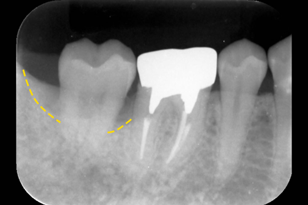
こちらの患者さまは、右下の奥歯(第2大臼歯)に歯の根の内部(神経)と歯の周囲の組織(歯周組織)の両方に問題がある複雑な状態でした。治療は、まず根の中の感染をしっかり取り除く「根管治療」を最初に行い、その効果を確認した後、歯周組織を回復させる再生治療を実施しました。
手術では、歯ぐきをできるだけ温存しながら丁寧に開く「SPPF(Simplified Papilla Preservation Flap)」という方法を採用しました。この術式は、歯と歯の間にある歯ぐき(乳頭部)を可能な限り残すことで、治療後の見た目や回復を良好に保つことができるのが特徴です。
特に、隣り合う第1大臼歯との間では、血液の流れを妨げずに治癒を促すため、切開の方向や位置を工夫して手術を行いました。術後2年半が経過しましたが、治療部位は安定しており、良好な状態を保っています。
| 年齢・性別 | 42歳 男性 |
|---|---|
| 主訴 | 歯が揺れて噛めない |
| 治療期間・回数 | 9ヵ月(治療回数:1回) |
| 治療費(税込) | 1回220,000円(3歯まで同時施術可) |
| 治療内容 | ・マイクロスコープによる精密根管治療 ・歯周組織再生療法 |
| リスク・注意点 | ・腫れや痛み:手術後、一時的に腫れや痛みが生じることがあります。 ・感染の可能性:術後の傷口から細菌感染するリスクがあります。 ・歯ぐきの退縮:治療後に歯ぐきが少し下がる可能性があります。 ・治療効果に個人差がある:すべての患者様で骨が完全に再生するとは限りません。 ・噛み合わせの変化:骨や歯ぐきの形が変わることで、噛み合わせに影響が出ることがあります。 ・術後のメインテナンスが重要:再発を防ぐために、定期的なクリーニングと歯科医院でのチェックが必要です。 |


