叢生(デコボコ歯列)の大人の矯正治療例1
八重歯などデコボコ歯列の矯正治療ビフォーアフター写真と解説

治療の詳しい解説
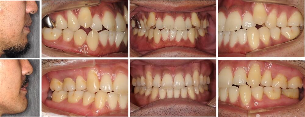
30代の男性です。歯のでこぼこと顎関節症を気にされて来院されました。分析の結果、上下の左右1本ずつを抜いて治療を行うことになりました。仕事の関係で海外出張が多く治療期間は少し伸びましたが顎関節症の症状は消え歯並びも良くなりました。
患者様・治療内容の主な概要
| 年齢・性別 | 30代男性 |
|---|---|
| 矯正治療期間 | 1年11ヶ月 |
| 治療回数 | 23回 |
| 治療費 | 77万円(税込) |
| 抜歯の有無 | 上下の左右1本ずつを抜歯しました |
| 使用矯正装置 | マルチブラケット(一般的なワイヤー矯正) |
| この治療の想定されるリスク | 顎関節症が過去にありましたので再発を起こす可能性があります。後戻りする事があります。リテーナーを使用して頂いております。 |
