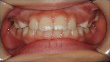
出っ歯の小児矯正治療(10歳の女子)
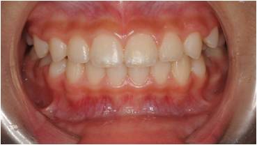
出っ歯の小児矯正治療(10歳の女子)
治療前

治療後

治療前

治療後

治療の詳しい解説
出っ歯の小児矯正治療(10歳の女子)の治療前後の写真です。矯正治療によって歯並びが改善されました。矯正治療をお考えの方はぜひBiVi歯科クリニックまでご相談ください。
| 年齢・性別 | 10歳 女子 |
|---|---|
| 矯正治療期間 | 約1年6ヵ月 |
| 治療回数 | 10回 |
| 治療費 | 40万円程度(税込) |
| 抜歯の有無 | なし |
| 使用矯正装置 | 拡大床+マルチブラケット装置 |
| リスク・注意点 | 舌癖や口呼吸などによる後戻りリスクに注意 |
