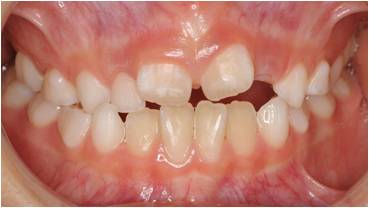
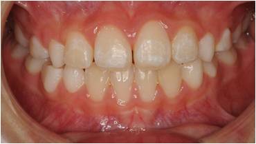
乱ぐい歯の小児矯正治療(7歳の女子)
乱ぐい歯の小児矯正治療(7歳の女子)
治療前

治療後

治療の詳しい解説
乱ぐい歯の小児矯正治療(7歳の女子)の治療前後の写真です。矯正治療によって上下の歯の乱れ、前歯のねじれが改善されました。
矯正治療をお考えの方はぜひBiVi歯科クリニックまでご相談ください。
| 年齢・性別 | 7歳 女子 |
|---|---|
| 矯正治療期間 | 1年 |
| 治療回数 | 9回 |
| 治療費 | 30万円(税込) |
| 抜歯の有無 | 無し |
| 使用矯正装置 | 拡大床+マルチブラケット装置 |
| リスク・注意点 | ・歯列が整うまでの期間に個人差がある ・歯磨きの徹底が必要(虫歯・歯肉炎予防) |
