上顎前突(出っ歯)の大人の矯正治療例1
上前歯が出っ歯気味の歯列の矯正治療ビフォーアフター写真と解説

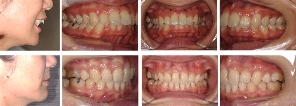
治療の詳しい解説
30代の女性です。歯のでこぼこと口元を気にされて来院されました。特に「でっ歯」とご自身では悩まれておりました。唇を閉じると歯が見えてしまうのもお悩みの様でした。 分析の結果、でこぼこの度合いが大きく上下の左右1本ずつを抜いて治療を行うことになりました。抜歯したスペースをすべて前歯を後方移動に使いたい為歯科矯正用アンカースクリューを用いて行いました。口呼吸から鼻呼吸になった事で風邪もひきにくくなったそうです。
患者様・治療内容の主な概要
| 年齢・性別 | 30代女性 |
|---|---|
| 矯正治療期間 | 2年4ヶ月 |
| 治療回数 | 30回 |
| 治療費 | 77万円(税込) |
| 抜歯の有無 | 上下の左右1本ずつを抜歯しました |
| 使用矯正装置 | マルチブラケット(一般的なワイヤー矯正) 歯科矯正用アンカースクリュー |
| この治療の想定されるリスク | 後戻りする事があります。リテーナーを使用して頂いております。歯科矯正用アンカースクリューが脱落する事があります。 |
