上顎前突(出っ歯)の大人の矯正治療例2
上前歯が出っ歯の歯列の矯正治療ビフォーアフター写真と解説

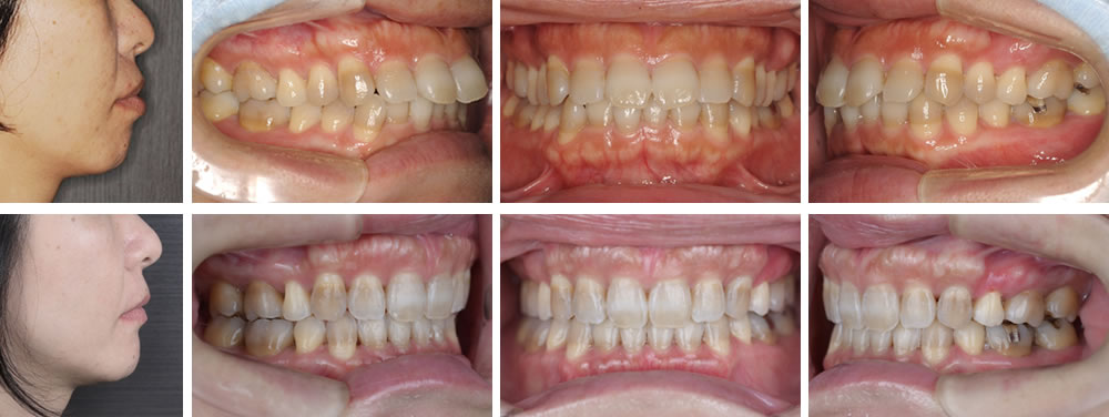
治療の詳しい解説
30代の女性です。口元が出ている事と前歯の歯並びの改善を主訴に来院されました。分析の結果、前歯の位置とでこぼこの度合いから上下の左右1本ずつを抜いて治療を行うことになりました。前歯を出来る限り下げ、横顔を美しくしたかったため、上あごの外側の歯ぐきの骨に歯科矯正用アンカースクリューを埋めることも必要となりました。
歯科矯正用アンカースクリューを埋めた場所に矯正治療用のゴムやスプリングを引っ掛けて上の前歯を後ろに下げることができることから、通常より治療期間が読みやすく矯正治療中に患者様の協力が必要な顎間ゴムという小さな輪ゴムを引っ掛けてもらうことが減るため患者様も楽に生活できます。約2年半の期間を要しましたが、口元も綺麗になり、満足して頂きました。
患者様・治療内容の主な概要
| 年齢・性別 | 30代女性 |
|---|---|
| 矯正治療期間 | 2年4ヶ月 |
| 治療回数 | 28回 |
| 治療費 | 99万円(税込) |
| 抜歯の有無 | 上下の左右1本ずつを抜歯しました |
| 使用矯正装置 | マルチブラケット(一般的なワイヤー矯正)+歯科矯正用アンカースクリュー |
| この治療の想定されるリスク | 後戻りする事があります。リテーナーを使用して頂いております。 稀に歯茎が下がることがあります。歯科矯正用アンカースクリューが脱落する事があります。 |
