過蓋咬合(咬み合わせが深い)の大人の矯正治療例1
咬み合わせが深すぎる歯列の矯正治療ビフォーアフター写真と解説

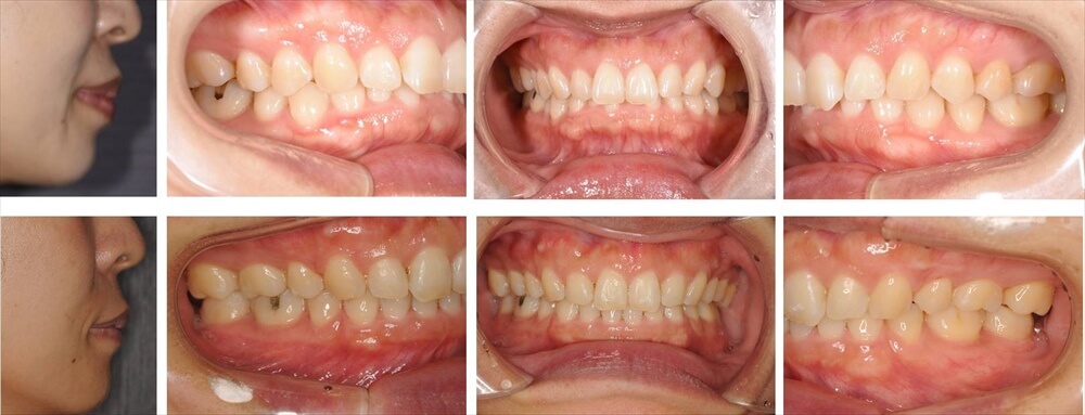
治療の詳しい解説
30代の女性です。下の歯のでこぼこと口元を気にされて来院されました。 分析の結果、でこぼこの度合いが大きく前歯の後方への移動量から上下の左右1本ずつを抜いて治療を行うことになりました。 骨格の状態と歯の状態の調和をとりながら綺麗な横顔と歯並びを作る事が出来ました。調和を作る為歯科矯正用アンカースクリューを使用しました。
患者様・治療内容の主な概要
| 年齢・性別 | 30代女性 |
|---|---|
| 矯正治療期間 | 2年2ヶ月 |
| 治療回数 | 25回 |
| 治療費 | 77万円(税込) |
| 抜歯の有無 | 上下の左右1本ずつ |
| 使用矯正装置 | マルチブラケット(一般的なワイヤー矯正) 歯科矯正用アンカースクリュー |
| この治療の想定されるリスク | 後戻りする事があります。リテーナーを使用して頂いております。歯科矯正用アンカースクリューが脱落する事があります。 |
