叢生(デコボコ歯列)の大人の矯正治療例4
八重歯などデコボコ歯列の矯正治療ビフォーアフター写真と解説

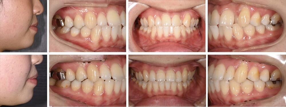
治療の詳しい解説
30代の女性です。歯のでこぼこを気にされて来院されました。分析の結果、でこぼこの度合いが大きかったですがセルフライゲーションブラケット装置「デーモンシステム」にて治療を行ったお蔭で抜歯をせずに口元を変えずに矯正期間を16ヶ月で終える事が出来ました。
患者様・治療内容の主な概要
| 年齢・性別 | 30代女性 |
|---|---|
| 矯正治療期間 | 1年4ヶ月 |
| 治療回数 | 32回 |
| 治療費 | 77万円(税込) |
| 抜歯の有無 | 抜歯なし |
| 使用矯正装置 | セルフライゲーションブラケット装置「デーモンシステム」 |
| この治療の想定されるリスク | 後戻りする事があります。リテーナーを使用して頂いております。 |
