上下顎前突(出っ歯)の大人の矯正治療例2
上下前歯が出っ歯の歯列の矯正治療ビフォーアフター写真と解説

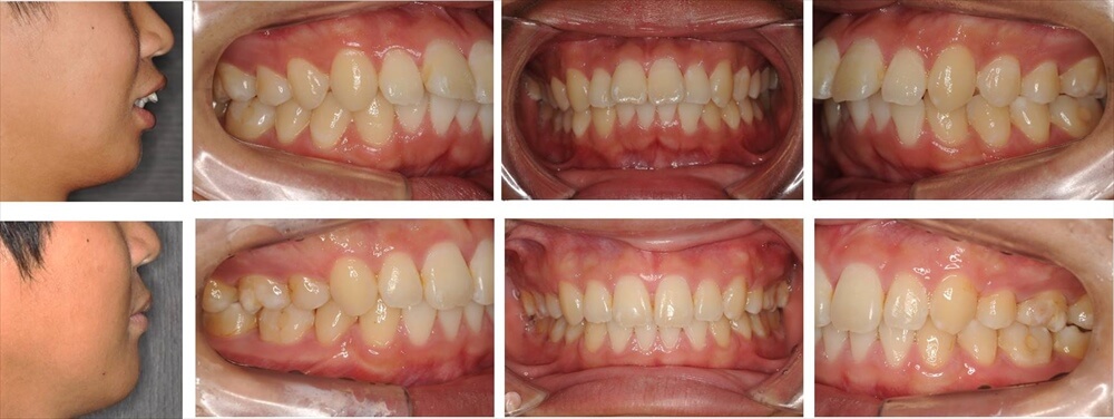
治療の詳しい解説
10代の男性です。「でっ歯」を気にされてお母さまと来院されました。唇を閉じる事が困難な状態でした。 分析の結果、前歯の後方への移動量から上下の左右1本ずつを抜いて治療を行うことになりました。抜歯したスペースをすべて前歯を後方移動に使いたい為、歯科矯正用アンカースクリューを用いて行いました。矯正用ゴムを真面目に使用して頂いたおかげで口元がこれだけ綺麗になりかみ合わせも良くなりました。
患者様・治療内容の主な概要
| 年齢・性別 | 10代男性 |
|---|---|
| 矯正治療期間 | 2年4ヶ月 |
| 治療回数 | 28回 |
| 治療費 | 82.5万円(税込) |
| 抜歯の有無 | 上下の左右1本ずつを抜歯しました |
| 使用矯正装置 | マルチブラケット(一般的なワイヤー矯正) 歯科矯正用アンカースクリュー |
| この治療の想定されるリスク | 後戻りする事があります。リテーナーを使用して頂いております。歯科矯正用アンカースクリューが脱落する事があります。 |
