叢生(デコボコ歯列)の大人の矯正治療例9
八重歯などデコボコ歯列の矯正治療ビフォーアフター写真と解説

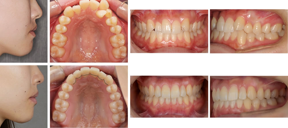
治療の詳しい解説
20歳女性です。前歯がガタガタしている事を気にされ来院されました。良く上の画像を見て頂くと左上に乳歯が残存し且つ、左上の2番目の歯が内側に転位してしまっている状態でした。ここまでガタガタが強いと抜歯をして治療する必要がありましたが、患者様からの希望もあり、歯を抜かずにマウスピース型矯正装置「インビザライン」で行いました。
このように横顔も悪くならずに治療を終えましたことは、治療期間中にゴムなどを積極的に使用して頂いた患者様のお陰です。これからも綺麗な歯並びを保ちましょうね!
患者様・治療内容の主な概要
| 年齢・性別 | 20代女性 |
|---|---|
| 矯正治療期間 | 2年4ヶ月 |
| 治療回数 | 24回 |
| 治療費 | 99万円(税込) |
| 抜歯の有無 | なし |
| 使用矯正装置 | マウスピース型矯正装置「インビザライン」 |
| この治療の想定されるリスク | 稀に歯茎が下がる事がございます。 |
