乱ぐい歯の小児矯正治療(10歳の女子)
乱ぐい歯の小児矯正治療(10歳の女子)
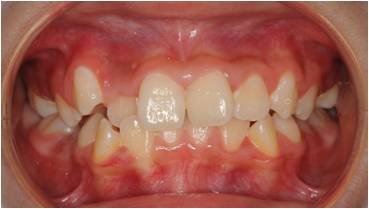
治療前

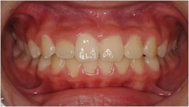
治療後

治療の詳しい解説
乱ぐい歯の小児矯正治療(10歳の女子)の治療前後の写真です。矯正治療によって前歯の強い叢生(ガタガタ)・ねじれが大幅に改善され、咬合関係も良好になりました。
矯正治療をお考えの方はぜひBiVi歯科クリニックまでご相談ください。
| 年齢・性別 | 10歳 女子 |
|---|---|
| 矯正治療期間 | 約1年6ヵ月 |
| 治療回数 | 11回 |
| 治療費 | 40万円程度(税込) |
| 抜歯の有無 | 無し |
| 使用矯正装置 | マルチブラケット装置 |
| リスク・注意点 | ・後戻り防止のための保定装置使用とブラッシングの継続が重要 |
