開咬歯列の大人の矯正治療例2
前歯が咬まない歯列の矯正治療ビフォーアフター写真と解説

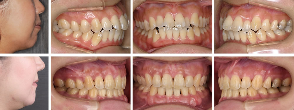
治療の詳しい解説
30代女性です。前歯の突出感による見た目のお悩み、前歯で咬みにくいこと、口唇が閉じにくいことを主訴として来院されました。
精密検査の結果、前歯部開咬を認めました。治療計画として、上下左右それぞれ2歯の抜歯を行い、矯正用アンカースクリュー(チタン製)を併用して臼歯部の圧下を図ることで、咬合の改善を目指しました。また、ワイヤー矯正とマウスピース型矯正装置を組み合わせたハイブリッド治療を行い、機能面と審美面の両立を図りました。
治療の結果、前歯部の咬合関係は改善し、食事時の咬みにくさは解消されました。口元の突出感も軽減し、横顔のバランスにも変化がみられました。現在は保定期間に移行し、安定した状態を維持しています。
患者様・治療内容の主な概要
| 年齢・性別 | 30代女性 |
|---|---|
| 矯正治療期間 | 2年6ヶ月 |
| 治療回数 | 26回 |
| 治療費 | 99万円(税込) |
| 抜歯の有無 | 上下の左右1本ずつ |
| 使用矯正装置 | マルチブラケット(一般的なワイヤー矯正) マウスピース型矯正装置「インビザライン」 歯科矯正用アンカースクリュー |
| この治療の想定されるリスク | 後戻りする事があります。 リテーナーを使用して頂いております。 歯科矯正用アンカースクリューが緩むことがあります。 |
