下がった歯肉を根面被覆術で改善した症例
下がった歯肉を根面被覆術で改善した症例
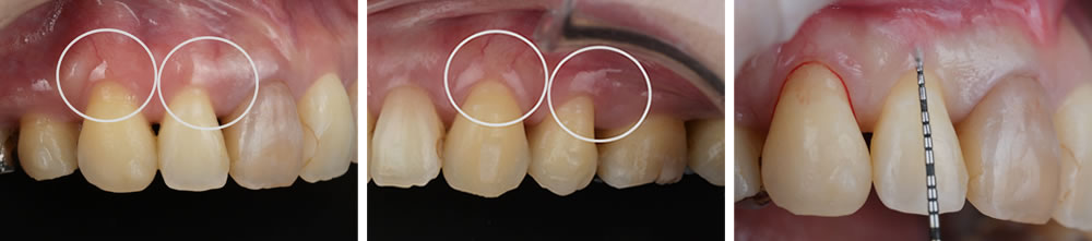
こちらの患者さまは、下がった歯肉により歯がしみるとのことでしたので、再生療法の治癒待ちの9ヵ月の間に、上顎前歯のPhenotype Modification Therapy(フェノタイプ改善療法)を行いました。
当該部分はプローブが透けてみえるほど、歯肉が薄く、歯根が透けやすい状態でした。
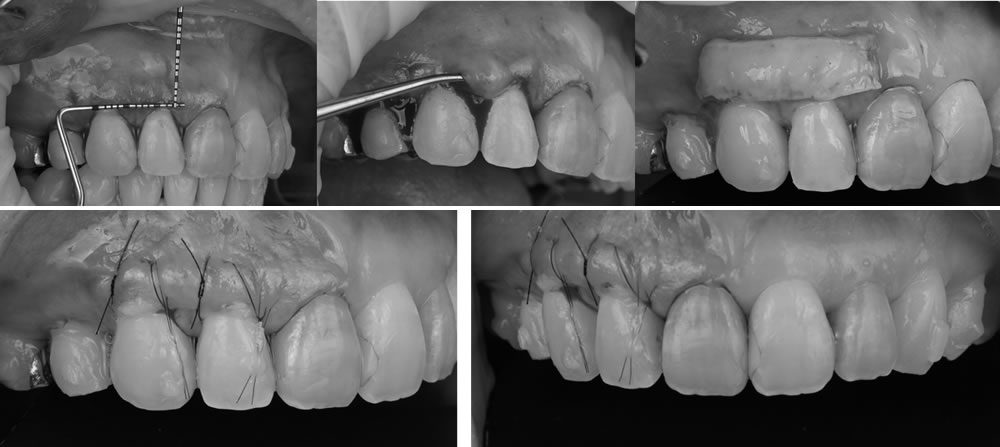
根面被覆術(Phenotype Modification Therapy)の実施
マイクロスコープを使用し、歯肉が下がった部分へ患者さまご自身の結合組織を移植しました。
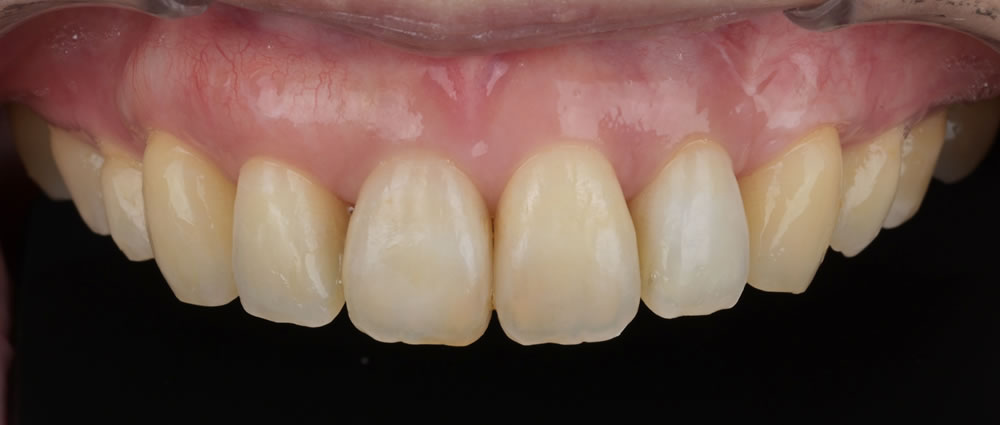
術後6ヵ月の状態
こちらは術後6ヵ月の状態です。歯肉の状態も良好でしたので、11番、22番の歯にウォーキングブリーチを行い、歯の色を改善しました。
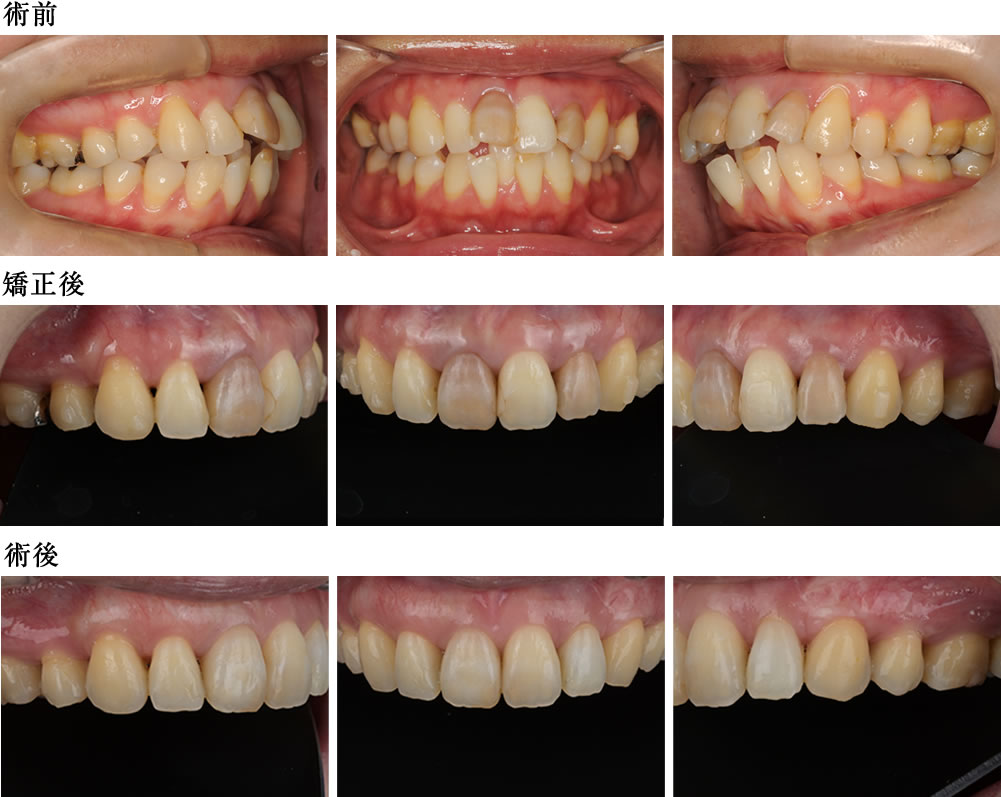
治療前後の比較
矯正治療、根面被覆術、ウォーキングブリーチによって口元の見た目が改善されました。
| 年齢・性別 | 30代 女性 |
|---|---|
| 主訴 | 歯茎が下がっている |
| 治療期間・回数 | 3ヵ月(治療回数:1回) |
| 治療費(税込) | 歯1本あたり110,000円 |
| 治療内容 | 顕微鏡下根面被覆術 |
| リスク・注意点 | ・腫れや痛み:手術後、一時的に腫れや痛みが生じることがあります。 ・感染の可能性:術後の傷口から細菌感染するリスクがあります。 ・術後のメインテナンスが重要:再発を防ぐために、定期的なクリーニングと歯科医院でのチェックが必要です。 |






