開咬歯列の大人の矯正治療例
前歯が咬まない歯列の矯正治療ビフォーアフター写真と解説

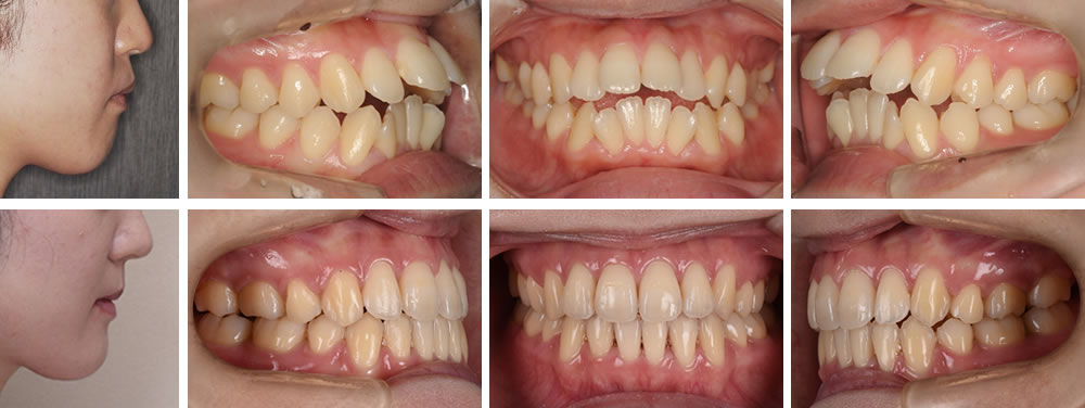
治療の詳しい解説
20代の女性です。前歯が出ていて見た目が気になる。前歯で噛めない。口が閉じづらいことを主訴に来院されました。分析の結果、開咬という状態で外科的矯正のプランもお話しましたが、同意はされませんでした。そこで上下の左右1本ずつを抜いて、矯正治療用のチタン製のネジを埋め、奥歯を圧下することで工夫をしました。
また、ワイヤー矯正装置とマウスピース型矯正装置「インビザライン」を併用した矯正治療により、矯正期間中も口元を隠すことなく笑えました。治療期間中も痛みや苦痛がなく、治療終了後は前歯で麺が切れるようになり、お顔が劇的に良くなったことでコンプレックスも解消しました。
患者様・治療内容の主な概要
| 年齢・性別 | 20代女性 |
|---|---|
| 矯正治療期間 | 2年6ヶ月 |
| 治療回数 | 25回 |
| 治療費 | 96.8万円(税込) |
| 抜歯の有無 | 上下の左右1本ずつ |
| 使用矯正装置 | マルチブラケット(一般的なワイヤー矯正) マウスピース型矯正装置「インビザライン」 歯科矯正用アンカースクリュー |
| この治療の想定されるリスク | 後戻りする事があります。 リテーナーを使用して頂いております。 歯科矯正用アンカースクリューが緩むことがあります。 |
