部分矯正の大人の矯正治療例1
奥歯の部分的な矯正治療ビフォーアフター写真と解説

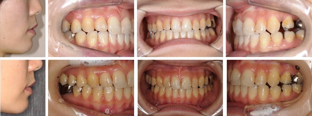
治療の詳しい解説
30代の女性です。神奈川県の矯正専門医院に2年以上通ってこれ以上は綺麗に歯を並べられないと言われ不信に思い来院されました。良く見てみると左側にスぺ-スがあり咬んでない状態でした。患者様も右でしか咬めないとの事でした。部分矯正で左側のコントロールを行い満足して頂けました。
患者様・治療内容の主な概要
| 年齢・性別 | 30代女性 |
|---|---|
| 矯正治療期間 | 8ヶ月 |
| 治療回数 | 8回 |
| 治療費 | 44万円(税込) |
| 抜歯の有無 | 抜歯なし |
| 使用矯正装置 | マルチブラケット(一般的なワイヤー矯正) |
| この治療の想定されるリスク | 後戻りする事があります。リテーナーを使用して頂いております。 |
