出っ歯の小児矯正治療(10歳の男子)
出っ歯の小児矯正治療(10歳の男の子)
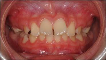
治療前

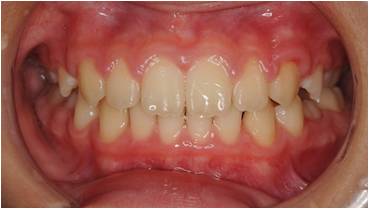
治療後

治療前

治療後

治療の詳しい解説
出っ歯の小児矯正治療(10歳の男子)の治療前後の写真です。矯正治療によって上顎前突(出っ歯)+前歯の間隙とガタつきの改善、見た目の印象も大きく改善しました。
矯正治療をお考えの方はぜひBiVi歯科クリニックまでご相談ください。
| 年齢・性別 | 10歳 男子 |
|---|---|
| 矯正治療期間 | 1年6ヵ月 |
| 治療回数 | 9回 |
| 治療費 | 50万円程度(税込) |
| 抜歯の有無 | 無し |
| 使用矯正装置 | ヘッドギア+マルチブラケット装置 |
| リスク・注意点 | 後戻り対策として保定装置の装着継続が重要 |
