開咬の小児矯正治療(10歳の女子)
開咬の小児矯正治療(10歳の女子)
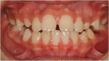
治療前

治療後

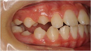
治療前

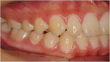
治療後

治療の詳しい解説
開咬の小児矯正治療(10歳の女子)の治療前後の写真です。矯正治療によってガタガタした歯列・前歯のねじれ・噛み合わせのズレが改善され、全体的な歯列と咬合が整いました。
矯正治療をお考えの方はぜひBiVi歯科クリニックまでご相談ください。
| 年齢・性別 | 10歳 女子 |
|---|---|
| 矯正治療期間 | 1年6ヵ月 |
| 治療回数 | 8回 |
| 治療費 | 40万円(税込) |
| 抜歯の有無 | 無し |
| 使用矯正装置 | マルチブラケット装置 |
| リスク・注意点 | ・咬合の安定維持には保定装置の長期使用が推奨される |
