叢生(デコボコ歯列)の大人の矯正治療例8
八重歯などデコボコ歯列の矯正治療ビフォーアフター写真と解説

治療の詳しい解説
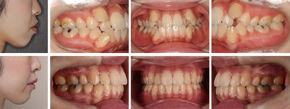
20代の女性です。歯のでこぼこを気にされて来院されました。分析の結果、でこぼこの度合いが大きく上下の左右1本ずつを抜いて治療を行うことになりました。前歯が重なっているところは歯ブラシがしずらく虫歯になりやすくリスクになります。
骨や歯茎が薄い方でしたので、注意深く、弱い力のセルフライゲーションブラケット装置「デーモンシステム」
で行い、その後仕上げはマウスピース型矯正装置「インビザライン」により、1年8ヶ月で仕上げることができました。
患者様・治療内容の主な概要
| 年齢・性別 | 20代女性 |
|---|---|
| 矯正治療期間 | 1年8ヶ月 |
| 治療回数 | 20回 |
| 治療費 | 93.5万円(税込) |
| 抜歯の有無 | 上下の左右1本ずつ |
| 使用矯正装置 | セルフライゲーションブラケット装置「デーモンシステム」 +マウスピース型矯正装置「インビザライン」 |
| この治療の想定されるリスク | 後戻りする事があります。リテーナーを使用して頂いております。 歯と歯の間に黒い三角形(ブラックトライアングル)が出現することがあります。 |
