歯周組織再生療法・インプラント等を併用した症例
歯周組織再生療法・インプラント等を併用した症例
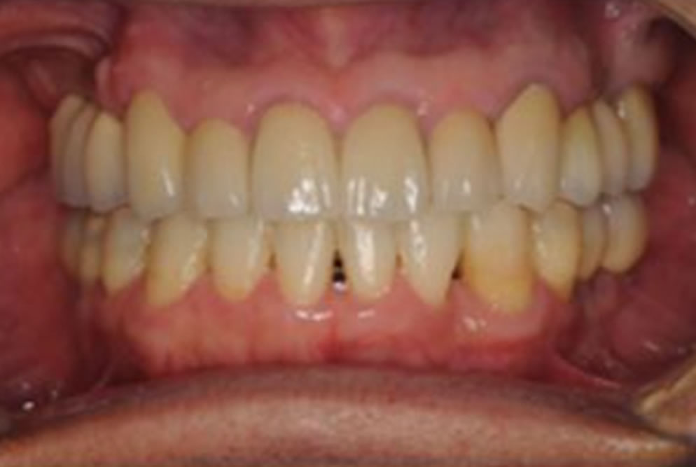
こちらの患者さまは、歯周病に加えて奥歯を失い、前歯の骨の支えもかなり少ない状態でした。11年前の歯科ドックで複数の問題が見つかり、一つひとつ丁寧に説明したうえで治療方針を立てました。
特に下の前歯は、歯を支える骨が根の3分の1ほどしか残っておらず、非常に厳しい状態でした。そこで「歯周組織再生療法」により骨の再生を目指し、痛みの少ない方法で治療を行いました。再生も良好に確認されました。
その後、歯磨きしやすい環境を整えるために矯正治療を行い、奥歯にはインプラントを用いてしっかり噛める状態を回復させました。治療から約10年が経過した現在も、特に問題はなく、安定した状態を保たれています。歯周病、噛み合わせ、歯並びなど複数の問題に対し、総合的な治療を行うことで、長期的な健康維持が可能になります。
| 年齢・性別 | 52歳 男性 |
|---|---|
| 主訴 | 奥歯が折れて噛めない・前歯からも膿がでる |
| 治療期間・回数 | 2年半(治療回数:30回) |
| 治療費(税込) | 3,850,000円 |
| 治療内容 | ・歯周組織再生療法 ・インプラント ・セルフライゲーションによる弱い力による歯周矯正治療 |
| リスク・注意点 | ・腫れや痛み:手術後、一時的に腫れや痛みが生じることがあります。 ・感染の可能性:術後の傷口から細菌感染するリスクがあります。 ・歯ぐきの退縮:治療後に歯ぐきが少し下がる可能性があります。 ・治療効果に個人差がある:すべての患者様で骨が完全に再生するとは限りません。 ・噛み合わせの変化:骨や歯ぐきの形が変わることで、噛み合わせに影響が出ることがあります。 ・術後のメインテナンスが重要:再発を防ぐために、定期的なクリーニングと歯科医院でのチェックが必要です。 |


