叢生(デコボコ歯列)の大人の矯正治療例10
八重歯などデコボコ歯列の矯正治療ビフォーアフター写真と解説

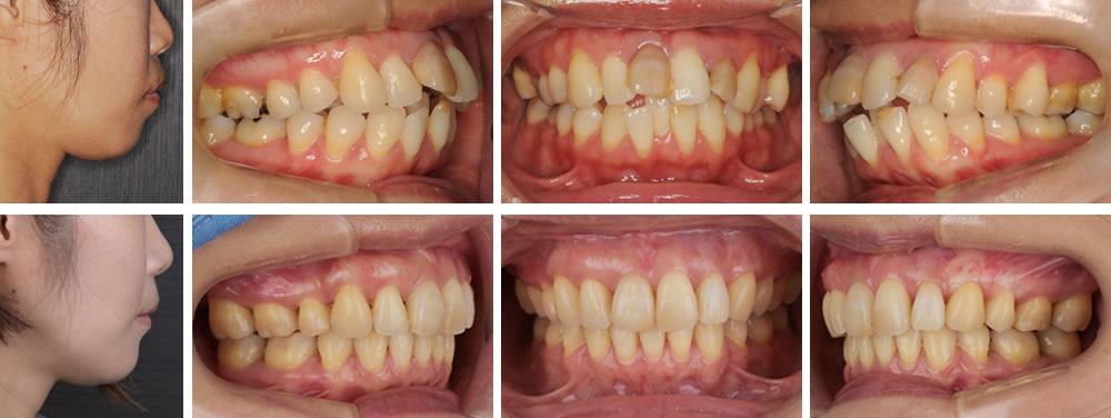
治療の詳しい解説
30代の女性です。歯のでこぼこと口元を気にされて来院されました。口元をスッキリさせたいとのはっきりとした依頼でした。
分析の結果、でこぼこの度合いが大きく上下の左右1本ずつを抜いて治療を行うことになりました。抜歯したスペースをすべて前歯を後方移動に使いたいため、歯科矯正用アンカースクリューを用いて行いました。治療後は口元がすっきりし、満足して頂けました。
歯茎が下がってしみているところには結合組織移植を行い、改善を行いました。
患者様・治療内容の主な概要
| 年齢・性別 | 30代女性 |
|---|---|
| 矯正治療期間 | 2年4ヶ月 |
| 治療回数 | 24回 |
| 治療費 | 99万円(税込) |
| 抜歯の有無 | 上下の左右1本ずつ |
| 使用矯正装置 | 歯科矯正用アンカースクリューを用いた矯正 |
| この治療の想定されるリスク | 後戻りする事があります。ワイヤーのリテーナーとベッグのリテーナーを使用して頂いております。 |
