受け口の小児矯正治療(7歳の女子)
受け口の小児矯正治療(7歳の女子)
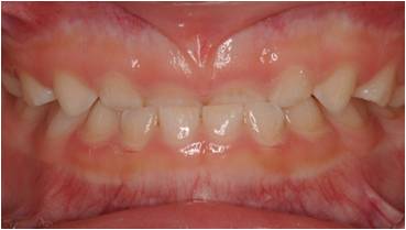
治療前

治療後

治療前

治療後

治療の詳しい解説
受け口の小児矯正治療(7歳の女子)の治療前後の写真です。矯正治療によって下顎前突(受け口)と上顎の狭さが改善され、正しい咬合に導かれています。
矯正治療をお考えの方はぜひBiVi歯科クリニックまでご相談ください。
| 年齢・性別 | 7歳 女子 |
|---|---|
| 矯正治療期間 | 約1年程度 |
| 治療回数 | 6回 |
| 治療費 | 6万円(税込) |
| 抜歯の有無 | 無し |
| 使用矯正装置 | プレオルソ |
| リスク・注意点 | ・後戻り防止のため保定装置の継続使用が必要 ・ブラッシングの徹底 |
