MIST・レーザー等で重度歯周病の症状を改善した症例
MIST・レーザー等で重度歯周病の症状を改善した症例
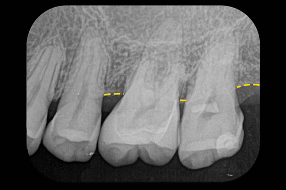
こちらの患者さまは、左上の奥歯2本(第一・第二大臼歯)に進行した歯周病があり、それぞれに「垂直性骨欠損」が見られ、分岐部にも炎症が及んでいました。非常に難易度の高い症例です。
当院では、体への負担を抑えるMIST(最小侵襲手術)を採用し、正確かつ丁寧な手術を行いました。第一大臼歯では、マイクロスコープ(顕微鏡)で分岐部を直視できるよう、口蓋側に縦方向の切開を加えて視野を確保しました。
感染組織の除去にはEr:YAGレーザー(エルビウムレーザー)を使用し、同時に骨再生を促す処理(デコルチケーション)も実施。第二大臼歯では、骨の欠損部を避けるよう切開位置を工夫し、治癒や歯ぐきの安定に配慮しました。治療から2年半が経過した現在も、歯と歯ぐきは良好な状態を維持しています。
| 年齢・性別 | 41歳 女性 |
|---|---|
| 主訴 | 左側で噛むと痛い |
| 治療期間・回数 | 9ヵ月(治療回数:1回) |
| 治療費(税込) | 1回220,000円(3歯まで同時施術可) |
| 治療内容 | ・MIST(最小侵襲手術):できるだけ傷を小さくして回復を早める手術方法。 ・マイクロスコープ(顕微鏡)による精密歯周病治療。 ・Er:YAGレーザーで徹底的に清掃:歯根面から歯周病の原因となる「プラーク」を除去する治療。 |
| リスク・注意点 | ・腫れや痛み:手術後、一時的に腫れや痛みが生じることがあります。 ・感染の可能性:術後の傷口から細菌感染するリスクがあります。 ・歯ぐきの退縮:治療後に歯ぐきが少し下がる可能性があります。 ・治療効果に個人差がある:すべての患者様で骨が完全に再生するとは限りません。 ・噛み合わせの変化:骨や歯ぐきの形が変わることで、噛み合わせに影響が出ることがあります。 ・術後のメインテナンスが重要:再発を防ぐために、定期的なクリーニングと歯科医院でのチェックが必要です。 |


