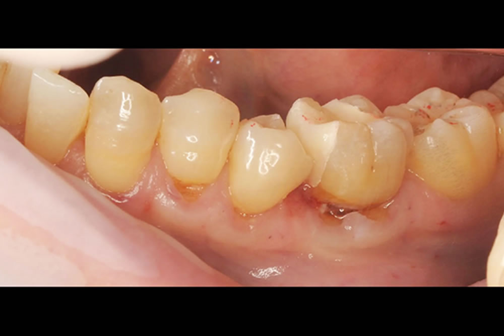
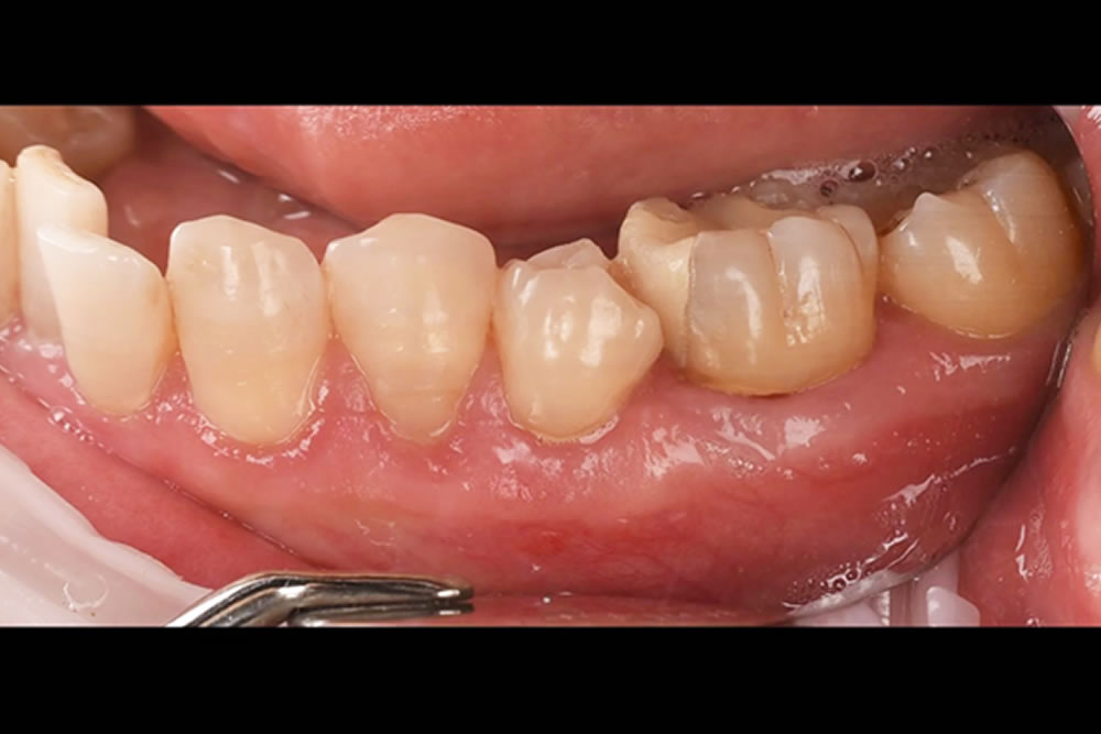
下がった歯茎をマイクロスコープ精密治療・根面被覆術で改善した症例
下がった歯茎をマイクロスコープ治療・根面被覆術で改善した症例
| 年齢・性別 | 42歳 女性 |
|---|---|
| 主訴 | 歯がしみる |
| 治療期間・回数 | 9ヵ月(治療回数:1回) |
| 治療費(税込) | 1回220,000円(3歯まで同時施術可) |
| 治療内容 | ・根面被覆術 ・マイクロサージェリー |
| リスク・注意点 | ・腫れや痛み:手術後、一時的に腫れや痛みが生じることがあります。 ・感染の可能性:術後の傷口から細菌感染するリスクがあります。 ・歯ぐきの退縮:治療後に歯ぐきが少し下がる可能性があります。 ・治療効果に個人差がある:すべての患者様で骨が完全に再生するとは限りません。 ・噛み合わせの変化:骨や歯ぐきの形が変わることで、噛み合わせに影響が出ることがあります。 ・術後のメインテナンスが重要:再発を防ぐために、定期的なクリーニングと歯科医院でのチェックが必要です。 |


