拡大床の小児矯正治療(8歳の男子)
拡大床の小児矯正治療(8歳の男子)
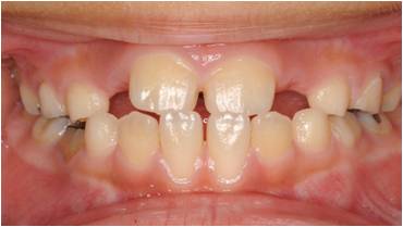
治療前

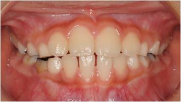
治療後

治療前

治療後

治療の詳しい解説
拡大床の小児矯正治療(8歳の男子)の治療前後の写真です。矯正治療によって正中離開(前歯のすきま)と叢生(歯のガタガタ)が改善されました。
矯正治療をお考えの方はぜひBiVi歯科クリニックまでご相談ください。
| 年齢・性別 | 8歳 男子 |
|---|---|
| 矯正治療期間 | 約1年 |
| 治療回数 | 4回 |
| 治療費 | 30万円(税込) |
| 抜歯の有無 | 無し |
| 使用矯正装置 | 拡大床 |
| リスク・注意点 | ・舌癖 ・口呼吸 ・保定装置不使用による後戻りのリスクあり |
