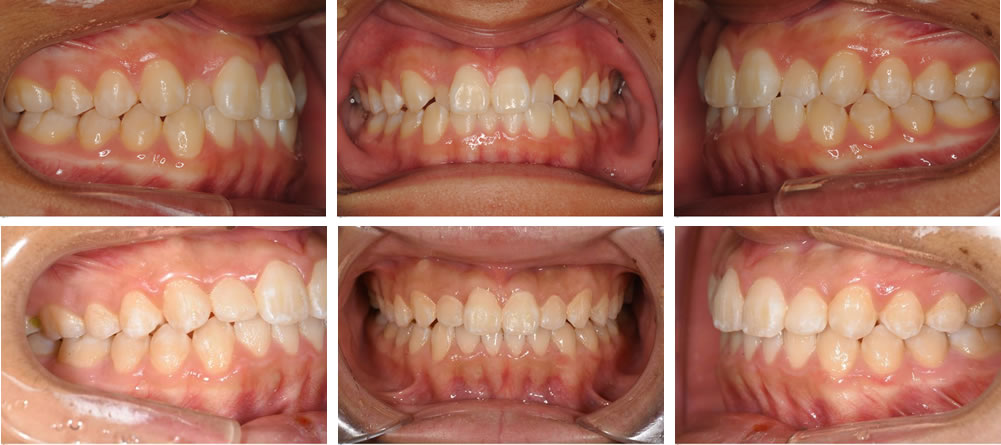
八重歯・叢生の矯正治療例(18歳男性 治療期間1年)
八重歯・叢生(デコボコの歯列)の治療例(Before&After)と解説

治療の詳しい解説
1前歯のガタガタが気になるとの事で来院されました。特に前歯の横にある歯(左右の2番目の歯)が反対になってしまって悩まれていました。 そのせいで若干、八重歯気味にも見えますね。本人は歯を抜かないで矯正を希望されていました。 高校生ですから、部活で忙しくなかなか来院できない時期もありましたが、1年で歯を抜かずに治療できました。
患者様・治療内容の主な概要
| 年齢・性別 | 18歳男性 |
|---|---|
| 治療期間 | 1年 |
| 抜歯 | なし |
| 治療費 | 71.5万円(税込) |
| リスク | ・治療後に保定装置を使用しないと、後戻りするリスクがある ・歯の移動に伴う痛みなど |
| 備考 | セルフライゲーションブラケット装置「デーモンシステム」 |
