マイクロスコープとCTによる精密診断・治療
投稿日:2017年11月13日
カテゴリ:院長ブログ
こんにちは。院長の武川です。
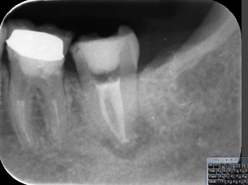
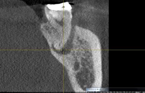
本日はエンド、ペリオ(重症のむし歯で神経が死に歯周病を併発した)患者さまの型とりの日でした。下記のように根の先に膿が出来てしまいそれが歯周ポケットと交通しています。ポケットは9mm。割れてはいないようでした。
CTでこのように精密に診断することにより的確な治療方法がお話でき納得されていました。
「とりあえず削ってみよう」などという曖昧な言い方は絶対にしません。歯は再生しないからです。
根管治療→歯周病治療→再検査→かぶせ物の計画です。
1:根管治療
樋状根でした。


MTAセメントで根管充填
2:歯周病治療
マイクロスコープで研ぎます。70度。

デブライドメント


3:再検査 ポケット3mm→やったーーーー。患者さまも症状が消えたと。
4:土台を作り精密な型取り

次回詰め物が入ります。楽しみですねー。
このように当院ではCTとマイクロスコープを駆使し総合的な治療を行う事で今まで救えなかった歯を短期間で救えるようになりました。本日も初診の方が2名。お二人共悩みがあり1時間半以上かけて当院にお越しになりました。頭が下がります。。。。必ず治して見せますとお伝えしました。まずお二人共精密診断から(歯科ドック)です。
■ 他の記事を読む■
