今日のマイクロスコープ治療(虫歯、精密根管治療編)
投稿日:2017年12月7日
カテゴリ:院長ブログ
こんにちは。院長の武川です。今日は一段と寒い。早く帰りたいです。最近は精密根管治療が多くありがたいです。私も好きな治療です。根管がスーッと綺麗に形成されたツルツルの感じがとても良いです。
すいません。マニアックな話でした。
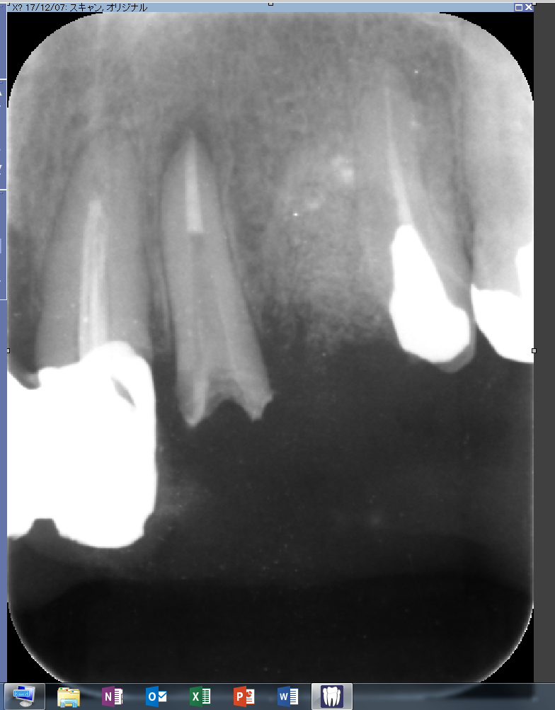
では本日の精密根管治療の御紹介
本日は2回目の来院。前回の症状も消えていました。

根尖が大きいケースではMTAセメントで根充。問題ありません。


2ケース目:銀歯虫歯。私はこの銀歯治療は行いませんが、この銀歯を行わない理由がここにあります。銀歯が腐食していますね。
中は
こんな感じ
怖いのはここから。この虫歯を追従すると
ザクザク深いところまで。神経に近い。

隣の歯まで転移しています。


ほら隣の歯も。マイクロスコープですからここまで見えます。

神経に近い部分は後遺症が残るのでMTAセメントで覆い

二重で壁を作成

型取りの前

これで神経も守れる。後遺症もほぼないと思います、術中もマイクロスコープのお蔭で無痛
MTAセメントばっかり使う一日でした。
このように銀歯は応急処置としては良いと思いますがご覧の様に虫歯細菌の侵入経路になります。
だから当院では扱っておりません。ご理解頂けると幸いです。
この様に当院ではマイクロスコープとMTAセメントを使用する事により歯と体に優しい無痛治療が可能です。埼玉、八潮、三郷、草加、葛飾で歯を残す、根管治療治療はBiVi歯科・矯正歯科まで。
■ 他の記事を読む■
