マイクロスコープの凄さ!
投稿日:2020年5月28日
カテゴリ:スタッフブログ
こんにちは。
歯科衛生士 杉山です。
今回は私達が診療で使用しているマイクロスコープについてお話していきたいと思います。
なぜ、マイクロスコープを使用しているかというと
肉眼では視えにくい歯の根の中や歯と歯の間、歯周ポケット内にまで倍率をあげて見ていくことにより精密な治療が行えるからです。
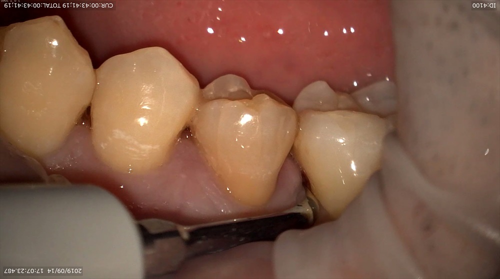
当医院のマイクロスコープは倍率が約20倍にまで拡大して見ることができます。
20倍ってあまりピンとこないかと思いますので…
これは3倍率のマイクロスコープの映像。
8倍率
そして、20倍!!
3倍率では分かりにくかった黒点がこんなにも傷ついているのが分かると思います。
私は、院長が診療しているマイクロスコープの映像を初めて見たときに感動したのを覚えています。院長がマイクロスコープを見ている時は別画面で院長が視ているものが視える。一緒の視野で視える事が今までにないからです!
さらに、その映像を治療後に患者さんも一緒の視えるのです!
凄くないですか!!
歯石が歯周ポケット内に付いているのがお分かりいただけるでしょうか?

しっかり取り除けたながわかると思います!
当医院の患者さんはマイクロスコープの映像により
どんな治療をされているのか?どのくらいの大きさの虫歯か?歯石が取れていく!映像を見ていただけるので安心して頂けています。
マイクロスコープはただ覗いているだけではなく視える位置・角度が決まっています。
私達は院長より指導していただいています!
日々練習し少しでも一人でも患者さんの口腔内環が良くなるようにマイクロスコープを使用していきます!!
マイクロスコープ、歯周病専門医、精密治療ならBiVi歯科・矯正歯科
■ 他の記事を読む■
