インプラントの進化
投稿日:2019年7月25日
カテゴリ:院長ブログ
こんにちは。
本日はTさんのカウンセリングの際に「先生インプラント出来ますか?」
と聞かれました。皆さん歯周病専門医というと歯を徹底的に残すと思われがちなのですが
インプラントを使用する頻度は当院は多いです。今日のTさんにもお話しましたが
大切なのは
残せる歯は徹底的にマイクロスコープで保存治療しますが
例えば破折の歯や10年持たない予知性の低い歯などは早く抜歯を行い骨を守っていきます。
インプラント治療には歯周病の知識が不可欠でアメリカなどは歯周病専門医がインプラントを担当するほどです。
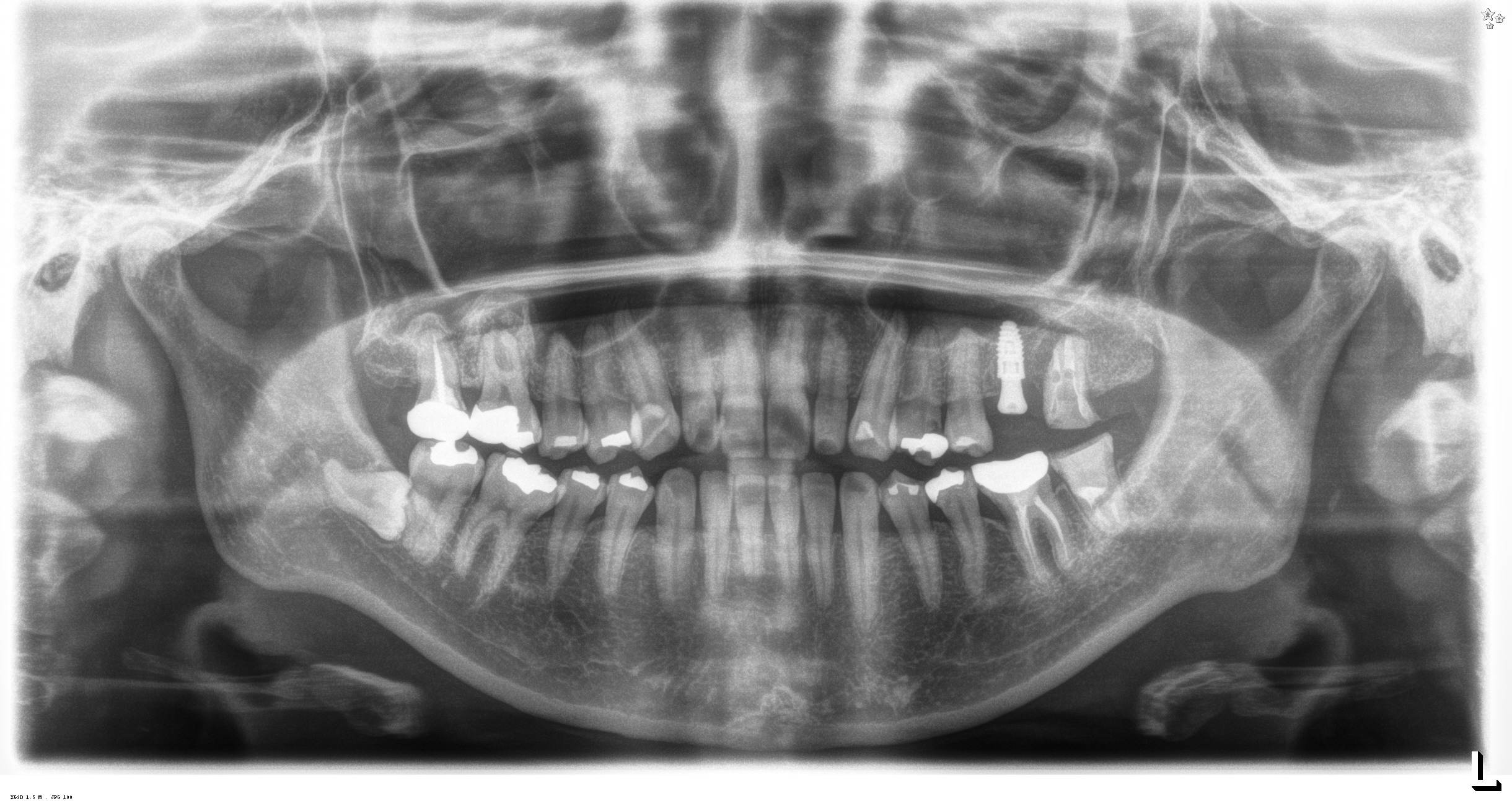
あまりブログには書いていないですが当院は毎週のようにインプラントがあります。
98%はメスや糸を使わない
無切開OPEです。
今日午前中のソケットリフトを併用したOPEも
ガイドを使用し

ハッチを開け
フルガイドで埋入
ほらメスも糸も使わない1回法。次回は型取り
右上の時間を見て頂ければ分かりますが
13分で終わっています。
でもこんなに簡単だからといってインプラントを沢山やるつもりは全くないです。
「自分の歯で生涯過ごせる事」
ここに歯周病専門医としての私のプライドがあります。
だからブログで書いたりしません。広告も打ちません。自分の歯より大切な物なんてありません。
埼玉、八潮、創価、三郷でインプラントならBiVi歯科・矯正歯科
■ 他の記事を読む■
