ジルコニアクラウンのセット
投稿日:2018年4月27日
カテゴリ:院長ブログ
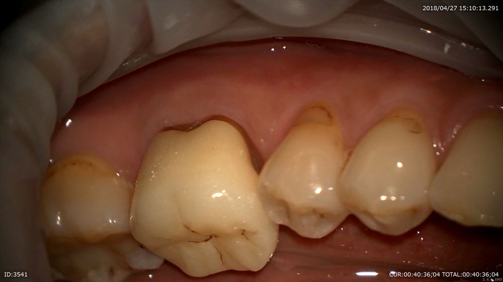
こんにちは。院長の武川です。今日は奥歯にジルコニアのクラウンのセットがありました。
コストパフォーマンスの良い材料で奥歯には私は良く使用します。前歯ですと審美性の観点から(特に透明感が出ない)使用しません。奥歯であれば透明感よりも耐久性の方が優先されます。ですので完璧なフィッティングと強さが優先されたケースの御紹介。
透明感にはやはり。。。
裏側

精密な型を採ったので完璧なフィッティング技工士間中先生の腕。いつも大変お世話になっております。
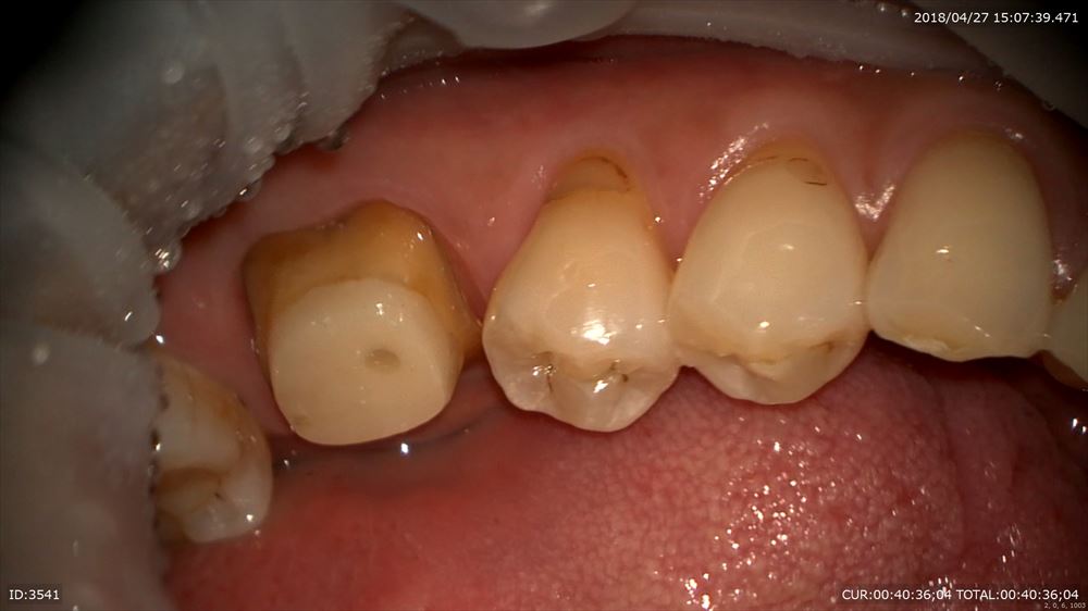
仮歯を外して
歯肉に炎症がない事を確認

フィット

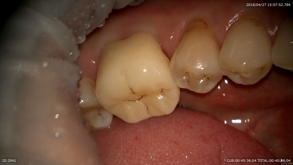
きつさの調整

吸い込まれます。ここから
吸い込まれた
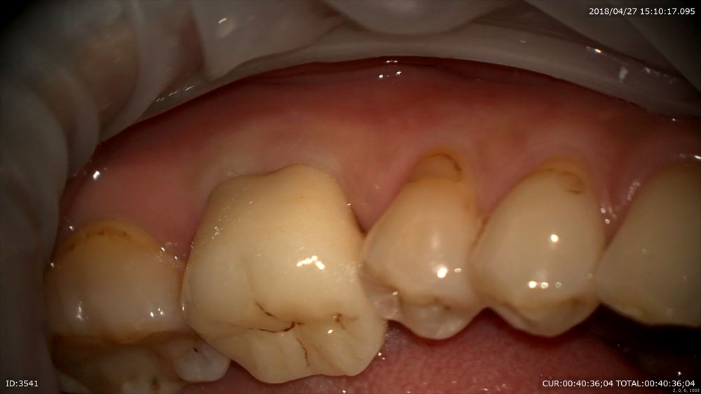
25倍でフィットの確認

スムーズ
これならプラーク付かない!
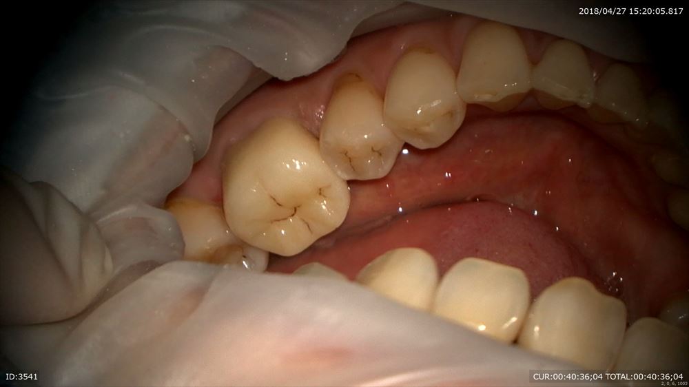
かみ合わせ調整後。
この様に当院では奥歯にも妥協しない治療を致します。
埼玉、八潮、草加、三郷で審美治療ならBiVi歯科・矯正歯科まで。
■ 他の記事を読む■
