今日のマイクロスコープ治療と研修医の先生が2人見学に来たお話し。
投稿日:2017年11月25日
カテゴリ:院長ブログ
こんにちは。今日は日大松戸の研修医の先生が診療の見学に来ました。最近ありがたい事に歯科医師、歯科衛生士、一昨日は歯科助手の方が診療見学、入社希望にいらっしゃいます。
ありがたい事です。皆さん不満が多いみたいで「今の歯科医院は患者さんを回している」「不潔」「残業が多い」「休みがない」「精密な治療を見てみたい」など
一番多いのは
「自分が患者だったら今の院長に治療してほしくない」ですね。
せめて自分が治療してほしい院長の所で働いたほうがいいかもと言っています。
本日もDRにお話ししましたが当院で正社員にたどり着くのは大変です。
当院のスタッフは皆知っていますがテストが多いです。面接で約8割は合格できません。そして入社したらすぐに研修→テスト(ここで残れるのは6割)の連続。はっきり言ってかなり厳しいと思います。
理由は「自分が患者だったらどんな歯科スタッフに対応してほしいか」に妥協しないから。
90点を目指すのは意味がありません。100点を目指す。それ以外ない。これは良くスタッフに言う言葉です。
お蔭さまで今のスタッフだったら僕が患者でも行きたい歯科です。
本日見学した1人の先生は6年位のお付き合い。まだ学生だった頃、そして私が勤務医だったころからのお付き合い。熱心な先生になりましたね。
その気持ちを忘れないで欲しいと思います。お二人とも頑張ってねー。診療が参考になれば幸いです。私がすべての治療にマイクロスコープを使用していた事に驚かれていたようでした。
さて今日のマイクロスコープ治療を御紹介。
ケース1:マイクロエンド 主訴:歯茎が腫れた。口内炎?
ブログを見て頂いている方の中にもこのような症状ありませんか?今回のケースを見て頂くとご理解頂けると思いますが放っておいたら大変な事になる重症な病変でした。
いつも通りまず歯科ドックをして原因を調べます。ドックの結果神経が死んでいました。しかし今回わからなかったのは分岐部といって歯の又の部分にも病変がありました。。。
これはどう説明すれば。。。

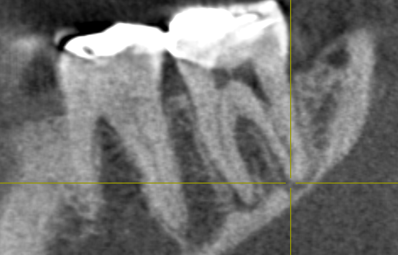
CTとデンタルをみると髄床から何か管か破折線か見えます。なんだろう。これが分岐部病変の原因ではないかと思います。歯科ドックをしたからここまでわかりました。
さて丁寧に根管を探していきます。
ん?歯髄から結石が!!これもマイクロエキスカで丁寧に取ります。
ん?近心根の中に2根(珍しい)1つは分岐部へ。

非常に珍しいケース。近心の根管の中に分岐部があり根管がご覧の様に縦に並んでいました。根管の形態はご覧の様に様々。だから時間と精密さが求められます。
次回症状が良くなっているといいです。
ケース2:歯髄(神経)温存処置 主訴;他院で不安になった。神経を取られるかも。
右下6番。確かに深い。でも詰め物に隙間がある。治療がずさん。。。

そこでまずマイクロスコープで詰め物を除去
やっぱり感染源の取り残し。。


神経に触れそうなところは間接覆髄(MTA)
象牙質の再生を促します。

暫間修復
このように痛みの原因には必ず理由があります。
その理由を探す為に精密検査と無痛かつ精密治療がどうしても必要になります。今日の研修医の先生にも同じことをお話ししました。
「原因がわからずにすぐに歯を削らないで。」「儲けに走らないで」「丁寧で歯や神経を保存できる先生になって下さい」と伝えました。私自身もも恵比寿で開業している尊敬する歯周病専門医に教わった言葉です。
歯科ドックから治療というと患者さまによっては儲けに走っていると思われるかたもいらっしゃると思いますが
「初診から診断もせずに歯を削り、患者さまを15分~30分に流れ作業式診ている歯科のほうが断然、儲かります。」
精密検査なしでお医者さんがおなかの手術をしないのとまったく一緒です。
八潮、三郷、松戸、流山で歯の保存の専門はBiVi歯科・矯正歯科まで。
■ 他の記事を読む■
