今日は診療後に勉強会 その2
投稿日:2018年2月22日
カテゴリ:院長ブログ
こんんちは。院長の武川です。今日は充実マイクロスコープ診療の後に新宿にSJCDステップアップ委員の先生方とミーティングを行い先日の日曜日の反省や勉強を行いました。
いつも大変お忙しい日本の有名歯科医の先輩に恵まれて幸せです。今日も沢山学びました。
新宿 こちらで勉強。
昨日の当院のケースもご紹介
「他院で行った右上の歯が痛い」
神経が腫れて辛そうでした。歯科ドックで原因をお話しし本日精密根管治療スタート
この歯。やはり銀歯虫歯からの細菌侵入。隙間がありますね。
アップ。こんなに。。。
金属を外すと
神経が腫れていました

無痛で行います。
4根見つけて
綺麗になりました。
術前と術後
これで痛みがなくなります。良かったです!!
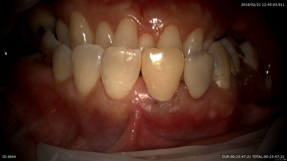
次の方は
「他院で説明がなくやっつけ仕事をされた」で来院
歯科ドックの後1.5時間カウンセリングでご納得いただき、
まず前歯から他院で折れているから抜かなければいけないかもとの事。外すと虫歯だらけ。。

確かに亀裂が!!
これを丁寧に除去(マイクロスコープだから安心!)
仮歯を作り

今日は終了

この歯も保存できます。お口全体にトラブルがありますのでカウンセリングでお話しした通り進めていきます。笑顔で帰られて良かった!!
このように当院では説明に多くの時間を掛けます。八潮、三郷、埼玉、草加で歯の悩みはBiVi歯科・矯正歯科まで。
■ 他の記事を読む■
