歯肉退縮(歯茎痩せ)でしみる方への根面被覆
投稿日:2021年1月18日
カテゴリ:院長ブログ
こんにちは。なかなか新型コロナウィルスの感染拡大が止まらず、気持ちも落ち込みそうになりますね。
当院は歯周病専門医として現在は歯周病とその周辺領域(保存系及びインプラント)の診療を中心に行っております。
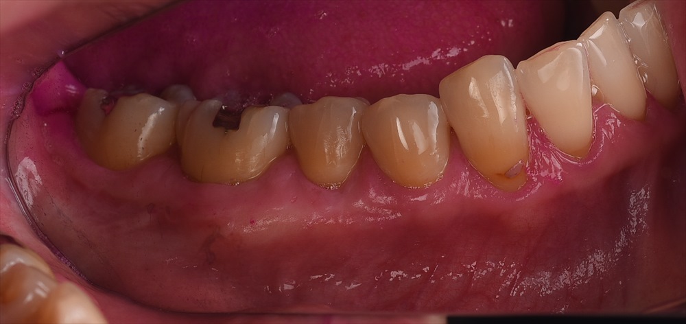
本日は歯茎下がりでお悩みの患者さま。左下がしみて我慢できなくなって当専門医へ受診された症例です。
左下の5番6番の歯茎が下がり、しみて食事がつらい状態でした。
歯科ドックを行い。
ミラーの分類、タイプ1、カイロの分類ではRT1でした。これを元に根面被覆が可能と判断しマイクロサージェリーを行いました。
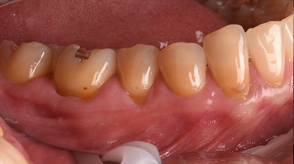
歯肉を移植を行い
エンベローブ切開ですので術後も痛くありません。
術後1ヶ月
全くしみなくなって快適!!
と喜んで頂けました。
美味しい物を沢山食べて下さいね!
このように歯茎や骨のトラブル、インプラントについては歯周病専門医が担当します。
是非一度ご相談下さい。
埼玉、八潮、草加、三郷で歯周病治療ならBiVi歯科・矯正歯科
■ 他の記事を読む■
