歯肉退縮による審美障害の症例
投稿日:2020年8月7日
カテゴリ:未分類
こんにちは。院長の武川です。今日は歯肉退縮にお困りのケースをご覧頂きます。
歯周病専門医の仕事は、このような歯茎の(審美的)トラブルの改善の治療も行います。
患者さまは
前歯を綺麗にして欲しいとの主訴で来院されました。
このまま、前歯のみの治療を行っても見た目だけが良くなるだけで、隠れた機能的問題が多く、それが引き金で左上の歯が折れたりもしていました。ですので

根本的な解決の為、歯科ドックを行い、歯列矯正、歯肉移植、インプラント、かみ合わせ治療、セラミックを包括的に駆使し先日治療が終わりました。
とても綺麗な患者さまだからだとは思いますが、
「綺麗」
「アンチエイジング」
が達成できました。
右上の1番目は実は歯が欠損しているのですが
ここは移植で丁寧にお肉を作り、仮歯の調整の日々。
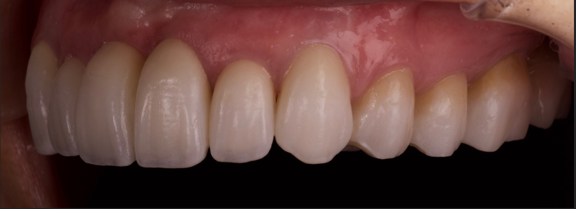
術後です。
機能時。
アンテリアガイダンス、オクルーザルストップと犬歯の隆線の位置を遠心にもっていく事でイコライザーを効かせ顎関節の安定を図っております。

術前、術後の比較です。

お顔です。アンチエイジング効果のある治療が達成されました!!



この治療の一番のポイントは
1つも神経をとらず、象牙質をも触らず、下の歯はほぼノンプレップ(削らない)でラミネートで仕上げています。上も元々クラウンになっていた奥歯、及び前歯以外はラミネートべニア(削らない)です。
この型取りとレントゲンが証拠になります。エナメル質を残しています。

だから、長持ちします。
「歯を削らず、神経を残す」
その上での審美です。
矯正治療が効いています。
埼玉、八潮、草加、三郷で審美治療ならBiVi歯科・矯正歯科へ
■ 他の記事を読む■
