ブログ暫らくさぼっていました。汗
投稿日:2017年10月15日
カテゴリ:院長ブログ
こんにちは。院長の武川です。
すみません。先週の日曜に今年の一番の仕事がありブログを書く時間もありませんでした。お蔭様で先週の日曜日に行われた歯科医師、歯科衛生士、歯科技工士に向けての講演は大成功に終わり何度も何度もプレゼンを練習した甲斐がありました。師匠にもお褒めのお言葉を頂き身が引き締まる思いでした。
私の得意としているマイクロスコープのお話しや矯正のお話しに興味をもって頂いた先生方からご挨拶まで講演後に頂きこんな私に感謝感激です。
これからも世界で講演できるレベルまで臨床に追及し自分を追い込んで患者さまの喜びに還元したい!
そう本当に思いました。道半ばですがとても良い経験になりました!
ブログはまた更新できるよう情報を発信します。
意外とブログ読んで頂ける患者さまも多くうれしい限りです。
一部ですが下記内容です。
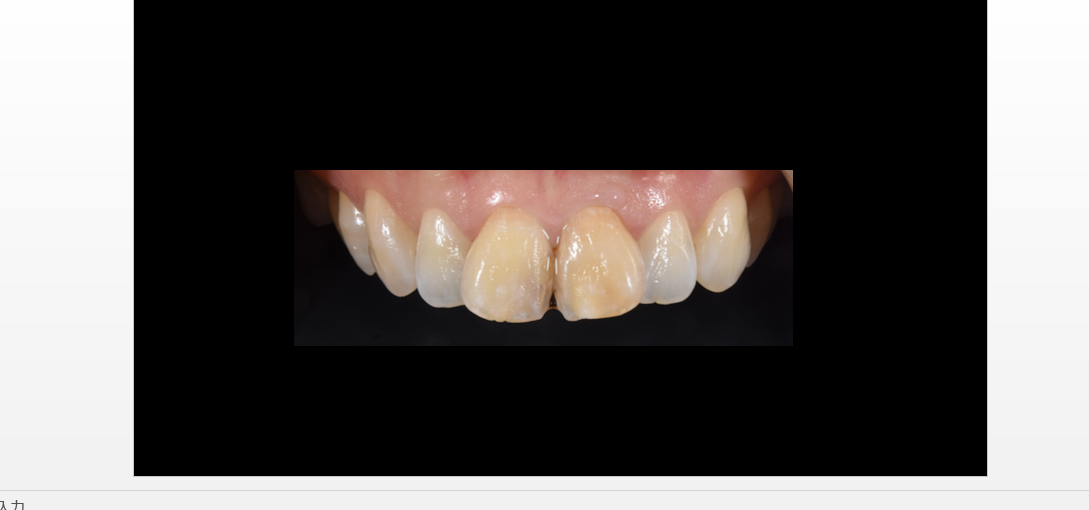
主訴:前歯を綺麗にしたい。
術前
術後

■ 他の記事を読む■
