本日の患者様の治療
投稿日:2017年8月11日
カテゴリ:院長ブログ
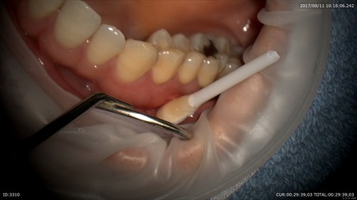
こんにちは。院長の武川です。今日は祝日ですが診療しています。本日はマイクロぺリオを行いました。歯周病の治療をマイクロスコープ下で行いました。
表面麻酔を塗って(海外製)無痛で出来るコツ!
歯石発見!!
丁寧にデブライドメント
あれっこれはなんだ?歯と歯の間に歯石?
ネギ!!
歯茎の溝(歯周ポケット)が深くなるとこのような物も自分の歯ブラシではとれなくなります。歯周病って怖いですね。
綺麗になりました。

そしてレーザー
一緒に画像をみながら笑って治療していました。歯ブラシを頑張っていただけるので歯周病がどんどん良くなりますね!充実した午前中でした。明日からのお盆休みに向け午後の診療もがんばりますーー。当院は18日までお休みを頂きます。
夜はスタッフと食事にいってきます!!
この様に当院では歯周病の専門治療を無痛で行っております。埼玉、八潮、三郷で歯でお困りの方はBiVi歯科・矯正歯科まで。
■ 他の記事を読む■
