今日はとても良い1日でした!!
投稿日:2017年12月9日
カテゴリ:院長ブログ
こんにちは。今日はこの数か月で一番良い1日(嬉しかった)でした。
特にこのケース。
この方は開院当初から来て頂いているとても大切な患者さま。Mさん。結婚式に間に合わせる為に数年前に前歯を一生懸命治したのを今でも覚えています。そのMさんがメンテナンス中の今年の夏の事。
電話が。。
「先生、左上が腫れた」
当院は1ヶ月以上予約が取れないのを常連さんであるMさんは既に知っていて顔の形が変わるくらい腫れていても他院に行きませんでした。泣。1ヶ月待っても当院に来たいと。なんとも嬉しい限り。
ただ
状況は最悪。
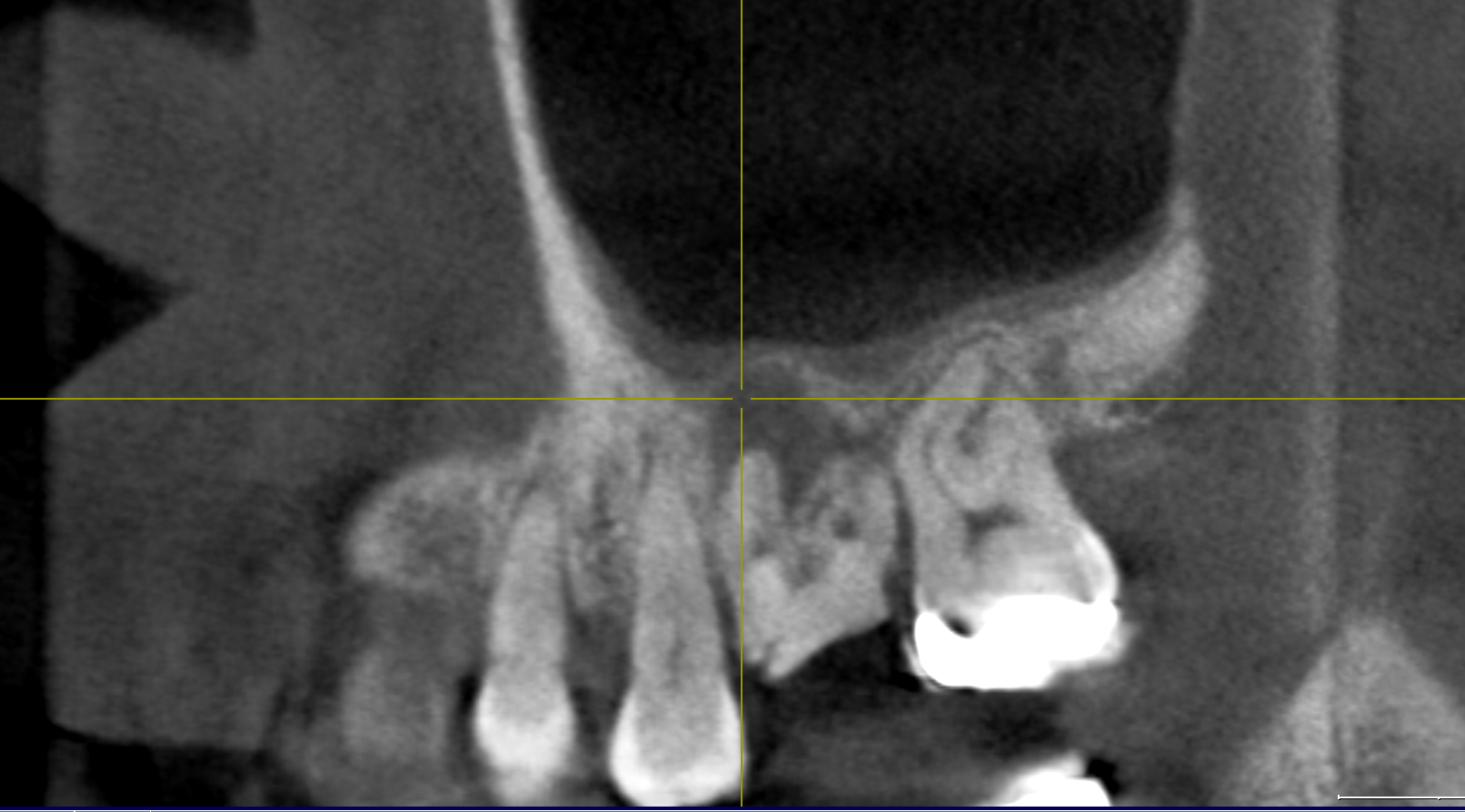
CT:重症の虫歯が根管を超え鼻の部屋に入っていました。鼻から変な汁もでる状況。皆さん歯科ドックではここまでわかります。必ず精密検査をお勧めします。骨にも穴が開いている。。。。

その日は応急処置を行い治療の説明を。
シンプルにいくなら抜歯。かなと。これはもし残すなら精密根管治療が必要ですがCTを見ると根管が狭窄(詰まっている)して器具が貫通できない可能性が高いのです。
でも私はあきらめませんでした。
精密根管治療開始。8月。
やはり膿が!!感染源が。そして肝心の根管がやはりCTで見た通り狭窄。通らない。
約半年かけて本日を迎えました。6回目。
今日ダメだったらやめましょう。そう伝えCTを術前に撮影。
鼻の部屋の病気が引いていました!!嬉しい。治癒傾向は間違いがない。ただ治癒だけではだめだ。根治だと自分に言い聞かせ昼休みを使ってゆっくり丁寧にマイクロスコープで根管を探りました。

集中。
すると、、、開きました。ここか!!半年かかりました。

根尖見えますね。根管を綺麗にして。次回根充(MTA)予定です。時間がかかったけど本当に良かったです。お付き合いいただいたMさんに感謝!!

次のケースも幸せ。矯正。下あごの位置を修正する矯正治療終盤戦。大分咬んできました。

スペース
クローズの為のシンチバック
綺麗なお顔、かみ合わせができました。嬉しかった!
次は虫歯のケース。プラスチックはこのように汚れ(細菌)を寄せ付け二次虫歯を発生させます。

外すと あらま。感染だらけ。マイクロスコープで丁寧に無痛で。

感染を取るとこんなに歯がなくなってしまいます。裸眼でとったら神経見えるかも。。

MTAで神経保護



また神経に優しい治療ができて幸せ!
最後はセラミック治療
術前右。術後左。金属を使用しない治療は体に良いと証明されています。

かみ合わせも確認。
患者さまも金属がとれて喜んでいました。僕も幸せ!

本当に私はこのように患者さまに毎日救って頂いているのだなと感じます。
歯科医師として「普通」とは何なのか、たまに迷う時があります。少し「普通」とは違う当院のコンセプトやシステムに迷うお方や叱咤をうける事もあります。
でもこんな日はとても幸せになります。これからもぶれる事なく幸せを分かち合い1本でも多くの歯を保存したいと思います。
今日患者さんの次の予約日が受付から聞こえてきました。
「2月。。。」
恐縮です。泣きそうです。だから私は眠くても毎日勉強できます。もっと私も成長します。
埼玉、八潮、三郷、足立、草加で根管治療ならBiVi歯科・矯正歯科まで。
■ 他の記事を読む■
