患者さんの高い要望を叶える為に。
こんにちは。院長の武川です。
本日はセラミックの詰め物のセットと前歯が気になる方への歯肉移植のOPEがありました。良い意味で当院にいらっしゃる患者さんの「美」への要求度は非常に高く毎日緊張して完璧な準備をして治療を行っております。健康保険の制限された応急処置ではなく「美しく」「無痛」で「長くもつ」治療の成功には術者の準備やトレーニングが全て。
「職人としての歯科医」
であることが全てだと思います。だから人には任せられません。
人に任せないから
「責任」が生まれそのプレッシャーに勝つ為に
「日々のトレーニング」が生まれるのではないでしょうか。色々な考えがあると思いますのでこれが正しいという意味ではなく、私なりの患者さんへの「おもてなしの心構」にあたります。
本日のセラミック治療(虫歯)
前回。虫歯を除去

型取り
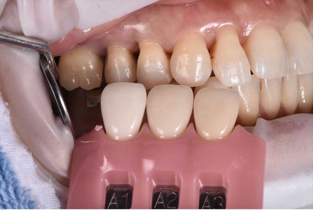
色あわせ(カメラも最高ランクの物をカスタム)

セラミストの間中に伝える為。色の再現。上奥歯でも妥協はなし。
今日
セット時
いいですね。
手前も私がいれました。
その隣は他院の物。色が変色しています。
そして一番大切な隙間がないこと。段差がないこと
フロスがひっかからない。
患者さまは喜んでいました。私もうれしい!!
次は前歯のブリッジの下に物が挟まり、しかも歯が長く見えるので嫌。という患者さまに
「マイクロサージェリー」を実施ご自身の歯茎を最小限の切開(3mm)で移植しました。
「全然痛くない!!」と喜んでいました。
陥没部。これでは。物は挟まる。
ここ
エンベロップフラップ作成し、移植。

膨らんだのがお分かりいただけるかと思います。
この写真はOPE直後。マイクロスコープを使用して7-0の糸でテンションをかけずに縫うと傷が傷に直後でも見えなくなります。
「なるべく体に傷をつけない」 だから痛くない!!
大切です。
埼玉、八潮、草加、三郷で歯周病治療ならBiVi歯科・矯正歯科。
■ 他の記事を読む■
