今日は休診日で矯正の修行
投稿日:2018年4月11日
カテゴリ:院長ブログ
こんにちは。院長の武川です。本日は休診にさせて頂き矯正歯科で師事をさせて頂いております
「武内 豊」先生の所で修行をして参りました。本日も症例を通じて診断学を学びました。武内先生とは成人矯正歯科学会の認定医研修コースからご指導頂いておりもう5年になります。
本当に素晴らしい師匠です。今日も沢山ディスカッションができました。充実した1日でした。
矯正学はその流派が大学によって違い診断方法も異なります。
卒後は医科歯科大の矯正科で研修医として勉強させて頂き
その後飯島先生に師事し日大の矯正を学びました。Tweed論です。
そして最近は武内先生に師事し北大のJarabak分析(多分医科歯科もこれに近いです)を元に診断しています。色々な流派の分析を知る事で最近では
それらを混ぜ「自分の分析法」を作り実用しています。私は補綴医(被せ物やかみ合わせをする歯科医)でもありますのでその時にも使用できる物にしています。
私は本当に師匠達に恵まれています。
さて昨日は
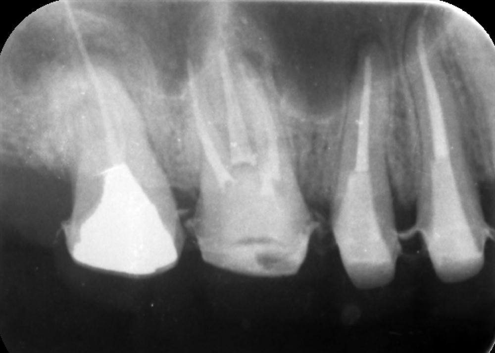
精密根管治療の1日
上顎6番が治らない方の2回目
先日MB2を発見し
今日は2回目で仕上げ
こういう所の感染源を取り残さない。
レーザー

根管充填

症状もなく患者さま喜んで頂けました。抜く必要はありません。
次回は7番。
この様に当院では矯正歯科を取り入れ総合的に治療しております。すべては無駄な歯を削らない為。
埼玉、八潮、草加、三郷で矯正歯科ならBiVi歯科・矯正歯科。
■ 他の記事を読む■
